Остеохондроз для профессионального пациента - Игорь Данилов
Книгу Остеохондроз для профессионального пациента - Игорь Данилов читаем онлайн бесплатно и без регистрации! Читать онлайн вы можете не только на компьютере, но и на андроид (Android), iPhone и iPad. Наслаждайтесь!
361 0 09:17, 12-05-2019Книга Остеохондроз для профессионального пациента - Игорь Данилов читать онлайн бесплатно без регистрации
МРТ № 31

Он взял отпуск и поехал в Москву в довольно известную частную клинику. Прошёл курс лечения, который включал в себя «стандартный набор»:
— мануальную терапию, с целью уменьшения (устранения) болевого синдрома, путём восстановления соотношений суставных поверхностей дугоотростчатых суставов в сегментах CV-CVI и CVI-CVII (устранение сублюксации);
— массаж шейного отдела позвоночника (для расслабления мышц, улучшения кровообращения);
— физиотерапию — магнитотерапию, инфракрасный лазер на воротниковую зону, с целью уменьшения воспалительных процессов и отёчности в поражённых тканях;
— медикаментозную терапию — стандартный набор нестероидных препаратов, витамины и анальгетики;
— физические упражнения на тренажёрах и лечебная физкультура для укрепления мышечного корсета позвоночника и выработки правильной осанки, придание связочно-мышечному аппарату необходимой гибкости с целью увеличения объёма движений в позвоночнике.
После лечения действительно почувствовал себя лучше, работоспособность была восстановлена. Но, чтобы не утратить достигнутый результат лечения, следуя рекомендациям, полученным в московской клинике, он продолжил заниматься на тренажёрах. Даже приобрёл несколько универсальных (многофункциональных) тренажёров. Один установил дома, другой — на работе. Жизнь вошла в привычное русло. Боли в шее периодически возникали, но проходили после занятий на тренажёре. К медикаментам прибегал в редких случаях.
Так продолжалось практически год, пока не появилась боль в левой руке и онемение IV и V пальцев. Занятия на тренажёре только усиливали боли, а лекарства практически не действовали. В связи с чем он был вынужден опять обратиться в ту же клинику. После лечения (практически по той же схеме) боли уменьшились, но полностью не прошли, онемение усилилось. Через некоторое время появилась субфебрильная температура (37–37,2 °C), общая слабость, частые головные боли, головокружения. По жалобам и ощущениям с его слов: «На голову надели будто тесную шапку и она сдавливает. А в голове туманность какая-то, мысли путаются, на чём-то сосредоточиться практически невозможно. Порой забываю, что минуту назад делал. Такое ощущение, что в голове полно посторонних мыслей: только от одних отделаюсь, как появляются другие» и так далее. Естественно, он вынужден был опять обратиться в медицинское учреждение, где ему повторно сделали МРТ (№ 32).

После обследования у него было обнаружено:
— абсолютный стеноз спинномозгового канала шейного отдела позвоночника с полным блоком ликворных путей и сдавлением дурального мешка спинного мозга на уровне сегментов CV-CVI и CVI-CVII;
— в сегменте CV-CVI — значительный спондилёз, гипертрофия задней продольной связки, и практически компенсированная спондилёзом грыжа межпозвонкового диска;
— в сегменте CVI-CVII — довольно активная грыжа межпозвонкового диска;
— на уровне поражённых сегментов выраженный эпидурит.
После данного обследования, когда врачи увидели грыжи межпозвонковых дисков, да и то, что происходило у пациента в шейном отделе позвоночника, они стали категорически настаивать на немедленной операции. Однако перспектива стать инвалидом на всю оставшуюся жизнь явно не прослеживалась в планах пациента. Когда прозвучали два слова — «грыжи» и «операция», этот человек, естественно, тут же вспомнил и про меня, и про нашу давнишнюю с ним дружбу.
Однако меня не удовлетворили результаты его обследования. Если бы дело было только в грыжах, это полбеды. Меня смущало наличие других симптомов, которые косвенно свидетельствовали о возможном поражении ЦНС. Поэтому я послал его на дополнительные обследования МРТ головного мозга (№ 33), тесты (ИФА (иммуноферментный анализ), ПЦР (Полимеразная Цепная Реакция на инфекции), которые дали положительный результат на герпесвирусы: Epstein-Barr virus (EBV) (вирус Эпштейна-Барр) и Cytomegalovirus (CMV) (вирус Цитомегаловирус).
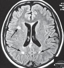
МРТ № 33

МРТ № 33 На МРТ отчётливо видны множественные очаги демиелинизации, вследствие развития нейроинфекции
Этот случай очередной раз указывает на то, как даже гениальный мозг может пострадать от банальной глупости человеческой. Есть такие замечательные слова древнекитайского философа Лао-Цзюнь (Лао-Цзы) в «Рассуждениях о ста заболеваниях»: «Человек мудрости… избавляется от беды, когда она ещё не появилась. Ведь катастрофа рождается из мелочей, а болезнь возникает из тончайших отклонений».
Грыжа Шморля
Некоторых моих пациентов интересует вопрос, что такое грыжа Шморля, которая у них была обнаружена в результате обследования. Грыжа Шморля (хрящевой узелок Шморля, узелок Шморля) — это медицинский термин, который означает грыжевидное выпячивание, внедрение хрящевой ткани из межпозвонкового диска в губчатую кость тела позвонка. Названа она так в честь выдающегося немецкого патологоанатома, учёного, профессора Кристиана Шморля (Schmorl Ghristian Georg; 1861–1932), который первым описал данную патологию в рамках научного понимания начала XX века. За последние годы жизни учёный написал ценные работы по патологической анатомии позвоночника. В них профессор Шморль поделился рядом своих открытий, касающихся межпозвонковых дисков. В том числе там было описано состояние межпозвонкового сегмента, при котором межпозвонковым диском была продавлена замыкательная (гиалиновая) пластинка, отделяющая губчатую кость тела позвонка от межпозвонкового диска.
Очаги данной патологии могут появиться у человека ещё в детском, подростковом возрасте. Как правило, они не имеют клинических проявлений, поэтому человек не чувствует каких-либо болевых ощущений. Но и здесь бывают свои исключения.
На МРТ № 34 наблюдаются грыжи Шморля (обратите внимание на локализацию пульпозных ядер межпозвонковых дисков), при которых пациент не испытывает болевых ощущений. Данные грыжи опасений не вызывают. А вот на снимке МРТ № 35 наблюдаются грыжи Шморля с глубоким проникновением межпозвонковых дисков в тела позвонков со значительным разрушением последних. Это уже опасно. Тем более что у пациента остеопороз (дистрофия костной ткани, в результате которой кости становятся хрупкими и ломкими), что означает неизбежное прогрессирование данной патологии. А это, в свою очередь, увеличивает риск возникновения патологических переломов тел позвонков в местах развития грыж Шморля. Но не всё так уж и печально для данного пациента: если подлечить остеопороз, да в последующем бережно относиться к своему здоровью, то есть ещё шанс избежать серьёзных осложнений этого заболевания позвоночника.
Прочитали книгу? Предлагаем вам поделится своим впечатлением! Ваш отзыв будет полезен читателям, которые еще только собираются познакомиться с произведением.
Уважаемые читатели, слушатели и просто посетители нашей библиотеки! Просим Вас придерживаться определенных правил при комментировании литературных произведений.
Просьба отказаться от дискриминационных высказываний. Мы защищаем право наших читателей свободно выражать свою точку зрения. Вместе с тем мы не терпим агрессии. На сайте запрещено оставлять комментарий, который содержит унизительные высказывания или призывы к насилию по отношению к отдельным лицам или группам людей на основании их расы, этнического происхождения, вероисповедания, недееспособности, пола, возраста, статуса ветерана, касты или сексуальной ориентации. Просьба отказаться от оскорблений, угроз и запугиваний. Просьба отказаться от нецензурной лексики. Просьба вести себя максимально корректно как по отношению к авторам, так и по отношению к другим читателям и их комментариям.
Надеемся на Ваше понимание и благоразумие. С уважением, администратор My-Books.me.
Оставить комментарий
-
Александра15 январь 09:37
Очень интересная книга! Особенно, если любишь психологию и хочешь понимать себя и других. Обязательно послушаю до конца. Спасибо....
Кригер Борис – Гнев
-
Галина25 май 13:02
Очень уважаю Артема Шейнина, книга замечательная, очень мне близкая по духу.Перечитываю уже второй раз, столько пережитого и не...
Мне повезло вернуться - Артем Шейнин
-
Екатерина11 январь 08:05
Доброе утро. Подскажите пожалуйста как сохранять книги, ставить закладки?...
Подонок - Анастасия Леманн