Остеохондроз для профессионального пациента - Игорь Данилов
Книгу Остеохондроз для профессионального пациента - Игорь Данилов читаем онлайн бесплатно и без регистрации! Читать онлайн вы можете не только на компьютере, но и на андроид (Android), iPhone и iPad. Наслаждайтесь!
361 0 09:17, 12-05-2019Книга Остеохондроз для профессионального пациента - Игорь Данилов читать онлайн бесплатно без регистрации
МРТ № 29

МРТ № 30

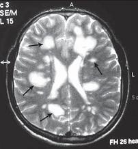
На МРТ № 29 наблюдаются протрузии и грыжи межпозвонковых дисков в шейном отделе позвоночника На МРТ № 30 головного мозга этого же пациента наблюдаются очаги демиелинизации вследствие развития нейроинфекции
Кроме того, независимо от размера и локализации любая грыжа межпозвонкового диска вызывает аутоиммунные реакции организма. Обратите на это особое внимание. Это очень важный момент для понимания причин возникновения многих заболеваний позвоночника! К аутоиммунным реакциям организма мы будем возвращаться ещё не раз в этой книге. А пока поясню общие моменты. Ткань пульпозного ядра, лишённая сосудов и изолированная от иммунологической системы крови, обладает аутоиммунными свойствами (аутоиммунный от греч. autos — сам и лат. immunis — свободный от чего-либо). При грыже межпозвонкового диска, когда фрагменты пульпозного ядра попадают, к примеру, в спинномозговой канал, происходит так называемый «конфликт», то есть иммунитет их не распознаёт как собственную ткань организма и воспринимает как чужеродные клетки. Возникает аутоиммунная реакция, которая приводит к аутоиммунным заболеваниям. Аутоиммунные заболевания — это патологические состояния, в основе которых лежат реакции иммунитета, направленные против собственных органов или тканей организма.
Данная проблема изучается и на сегодняшний день остаётся открытой. Имеется немало интересных работ (в том числе экспериментальных) об аутоиммунных реакциях на грыжи межпозвонкового диска таких авторов как В. Я. Латышева, И. П. Антонов, Г. С. Юмашев, М. Е. Фурман и других как отечественных, так и зарубежных исследователей. Многими специалистами, изучавшими аутоиммунные реакции, было достоверно установлено, что у больных с грыжами, особенно секвестрированными грыжами межпозвонковых дисков уровень иммуноглобулинов G и М значительно повышен (иммуноглобулины — основные защитные белки организма). Авторами данных работ также отмечается и такой факт: после хирургического удаления грыж межпозвонкового диска в ближайший послеоперационный период уровень иммуноглобулинов ещё более повышается и сохраняется в течение многих месяцев. Проще говоря, после операций по удалению грыж межпозвонковых дисков аутоиммунные реакции усиливаются на длительный период времени. Вот и получается очередная дилемма для врачей, что оставлять грыжи межпозвонковых дисков нельзя, так как они вызывают аутоиммунные реакции, которые могут спровоцировать очень серьёзные осложнения, а после хирургического вмешательства (удаления) эти реакции только усиливаются. И где же ставить запятую: «Казнить нельзя помиловать»?
Приведу ещё один показательный пример из своей практики, связанный с развитием нейроинфекции вследствие дегенеративно-дистрофических изменений в позвоночнике. Для специалиста диагноз «нейроинфекция» звучит достаточно обыденно. А вот для пациента — это неожиданный приговор судьбы, который может не только лишить человека здоровья, но напрочь поломать карьеру, жизнь, превратить в пустую иллюзию большие планы на будущее. Хотя, как говорится, случайности не случаются. Подобная беда из «букета» болезней не рождается на пустом месте. Ей предшествует ряд «мелочей», целая цепочка «личного выбора», начиная от нравственных ценностей и заканчивая образом жизни, которые приводят к определённым событиям. Древние мудрецы говорили, болезнь — это следствие твоего образа жизни, причина безумств воли.
Более двадцати лет назад судьба свела меня с одним молодым, энергичным человеком, физиком по профессии (не называю его фамилию из этических соображений). В нём были видны задатки настоящего учёного: любовь к своей профессии, эрудированность, неудержимая тяга к познанию всего нового и непознанного, правильная постановка целей и задач. Мы вместе занимались одним и тем же видом спорта и часто довольно подробно обсуждали ряд вопросов из области перспективных направлений его профессии. С ним было интересно беседовать, так как он обладал незаурядными умственными способностями, схватывал всё на лету и имел неплохие аналитические задатки. В общем, человек был достаточно талантлив, чтобы с честью и достоинством послужить во благо развития науки и человечества.
Со временем он достиг признания в научной среде. Его работы вызвали определённый интерес, возможно потому, что мысль данного учёного опережала время, и то, о чём он заявлял много лет назад, только сейчас начинают изучать более детально. Так сложилось, что я переехал в другой город, однако несмотря на это мы созванивались довольно часто. Он рассказывал о своих исследованиях, о проблемах, с которыми сталкивался, обсуждали их решение, перспективные возможности мирного применения его разработок для улучшения жизни людей. А несколько лет тому назад он переехал на постоянное место жительства в соседнюю страну, получив в своё распоряжение прекрасную лабораторию и очень солидный бюджет для её содержания. Казалось бы, мечта учёного почти свершилась, талантливый человек получил возможность полноценно работать сразу в нескольких перспективных направлениях. Однако…
Последние пять лет я ничего о нём не слышал, он не звонил и естественно мы не виделись, очевидно работа заняла все его мысли и время. Поэтому его внезапный звонок был для меня несколько неожиданным. Он сообщил, что собирается приехать ко мне в клинику и просил встречи. Естественно, я ответил, что буду рад его увидеть. Однако, слушая его голос по телефону, понял, что радоваться нечему, у человека серьёзные проблемы со здоровьем: слишком заметные изменения в его речи указывали на то, что его гениальный мозг явно пострадал. К сожалению, мои худшие опасения оправдались.
Когда я его увидел, то почти не узнал. Прежде жизнерадостного, оптимистично настроенного человека точно подменили, прямо как в сказках говорится, «душу вынули, а вместо этого стужу лютую напустили». На фоне материального благополучия здоровье его рушилось как карточный домик. Прежде, когда я интересовался успехами в его работе, он мог говорить часами. Сейчас же он давал довольно обтекаемые ответы, отметив: «Хорошо финансируется лишь то, что способно вредить человечеству. И чем больше оно способно вредить, тем лучше финансируется. А мои проекты очень хорошо финансируются». Далее можно было не продолжать, и так всё предельно ясно.
Насколько я понял из его рассказа, пять лет назад он получил «спецзаказ» и, как говорится, с головой ушёл в работу. Но полтора года назад здоровье его заметно пошатнулось. Он почувствовал боли в шее, стал быстро уставать, нарушился сон, появились головные боли, что, естественно, отразилось на работоспособности. Вынужден был обратиться в соответствующее медицинское учреждение, где ему сделали МРТ (№ 31), на котором наблюдались незначительные протрузии межпозвонковых дисков в шейном отделе позвоночника в сегментах CV-CVI и CVI-CVII.
Прочитали книгу? Предлагаем вам поделится своим впечатлением! Ваш отзыв будет полезен читателям, которые еще только собираются познакомиться с произведением.
Уважаемые читатели, слушатели и просто посетители нашей библиотеки! Просим Вас придерживаться определенных правил при комментировании литературных произведений.
Просьба отказаться от дискриминационных высказываний. Мы защищаем право наших читателей свободно выражать свою точку зрения. Вместе с тем мы не терпим агрессии. На сайте запрещено оставлять комментарий, который содержит унизительные высказывания или призывы к насилию по отношению к отдельным лицам или группам людей на основании их расы, этнического происхождения, вероисповедания, недееспособности, пола, возраста, статуса ветерана, касты или сексуальной ориентации. Просьба отказаться от оскорблений, угроз и запугиваний. Просьба отказаться от нецензурной лексики. Просьба вести себя максимально корректно как по отношению к авторам, так и по отношению к другим читателям и их комментариям.
Надеемся на Ваше понимание и благоразумие. С уважением, администратор My-Books.me.
Оставить комментарий
-
Александра15 январь 09:37
Очень интересная книга! Особенно, если любишь психологию и хочешь понимать себя и других. Обязательно послушаю до конца. Спасибо....
Кригер Борис – Гнев
-
Галина25 май 13:02
Очень уважаю Артема Шейнина, книга замечательная, очень мне близкая по духу.Перечитываю уже второй раз, столько пережитого и не...
Мне повезло вернуться - Артем Шейнин
-
Екатерина11 январь 08:05
Доброе утро. Подскажите пожалуйста как сохранять книги, ставить закладки?...
Подонок - Анастасия Леманн