Остеохондроз для профессионального пациента - Игорь Данилов
Книгу Остеохондроз для профессионального пациента - Игорь Данилов читаем онлайн бесплатно и без регистрации! Читать онлайн вы можете не только на компьютере, но и на андроид (Android), iPhone и iPad. Наслаждайтесь!
361 0 09:17, 12-05-2019Книга Остеохондроз для профессионального пациента - Игорь Данилов читать онлайн бесплатно без регистрации
На МРТ № 21 наблюдается секвестрированная грыжа межпозвонкового диска шейного отдела позвоночника в сегменте CIII-CIV. На данном снимке, хорошо видно, как фрагмент (секвестр) грыжи межпозвонкового диска, исходя из сегмента СIII-СIV, уходит краниально (т. е. вверх, по направлению к голове) и грубо сдавливает спинной мозг на данном уровне.
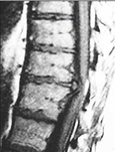
МРТ № 22

МРТ № 23

На МРТ № 22 и МРТ № 23 наблюдаются дорсальные грыжи межпозвонковых дисков в грудном отделе позвоночника
Считается, что грыжи межпозвонкового диска больших размеров, а тем более секвестрированные грыжи, способны в значительной степени инвалидизировать человека, так как могут частично или же полностью компримировать (лат. comprimere — сжимать, сдавить) спинной мозг и его корешки. Это, несомненно, так. На практике грыжи межпозвонковых дисков, даже небольших размеров, в условиях стеноза (греч. steosis — сужение) спинномозгового канала или же фораминальной локализации (направленные в межпозвонковое отверстие) могут вызвать такие же осложнения, как и секвестры.
МРТ № 24

На серии снимков МРТ № 24 наблюдаются дорсальные грыжи межпозвонковых дисков в поясничном отделе позвоночника в сегментах Lv—SI Это самый уязвимый межпозвонковый диск, так как в силу своего анатомического расположения на него приходятся самые большие нагрузки. Как говорится, по счёту «последний», а по уязвимости, первый. Поэтому в нём чаще, чем в других межпозвонковых дисках, возникают, различные осложнения, в том числе и грыжи
МРТ № 25

На серии снимков МРТ № 25 наблюдаются дорсальные грыжи межпозвонковых дисков в поясничном отделе позвоночника в сегментах LIV-LV Lv—SI Такие комбинации, в которых образуются по нескольку грыж, межпозвонковых дисков одновременно, случаются довольно часто на более поздних стадиях развития дегенеративно-дистрофического процесса. В общем, беда не приходит одна, «несчастье» любит, компанию
МРТ № 26

На серии МРТ № 26 наблюдаются секвестрированные грыжи межпозвонковых дисков в поясничном отделе позвоночника в сегментах LIV—LV LV—SI с каудальной (каудальной — расположенной ближе к нижней части туловища, направленной вниз) миграцией секвестра (фрагментов межпозвонкового диска)
МРТ № 27

На серии МРТ № 27 наблюдаются секвестрированные грыжи межпозвонковых дисков в поясничном отделе позвоночника в сегментах L]-Sl с краниальной (вверх) миграцией секвестра (фрагментов межпозвонкового диска)
Должен заметить, что по моим наблюдениям, к сожалению, практически все существующие на сегодняшний день методы лечения дегенеративно-дистрофического процесса, в том числе и осложнённого грыжами межпозвонковых дисков, направлены на устранение болевого синдрома. Проще говоря, лечат следствие, а не причину! Обращаю ваше внимание на следующий факт. Бывают грыжи межпозвонковых дисков, которые не вызывают никакой симптоматики, так называемые «немые» грыжи. Как правило, они имеют срединную локализацию. Некоторые «специалисты», практикующие в области вертебрологии, ошибочно считают, что такие грыжи абсолютно безопасны и лечить их нет необходимости. При этом навязывают своё (в данном случае необоснованное, ошибочное) мнение, что межпозвонковые грыжи опасны лишь тогда, когда вызывают боли. К сожалению, это далеко не так!
МРТ № 28

На МРТ № 28 наблюдается секвестрированная грыжа межпозвонкового диска в поясничном отделе позвоночника в сегменте LV—S1 с каудальной миграцией секвестра
Межпозвонковые грыжи весьма опасны и коварны, даже если и не вызывают болей. Дело в том, что длительное раздражение или сдавление межпозвонковой грыжей задней продольной связки, оболочек спинного мозга вызывает развитие воспалительных процессов в спинномозговом канале с последующим развитием эпидурита (воспаление клетчатки эпидурального пространства), арахноидита (воспаление паутинной (арахноидальной) оболочки головного или спинного мозга), а так же спаечных процессов. Так что оставлять человека один на один с его проблемой «немых» грыж, не оказав ему своевременную помощь, это всё равно, что обрекать его на усугубление патологических процессов в его позвоночнике и развитие нового «букета» заболеваний.
Хотелось бы затронуть и тему нейроинфекции. Профессор, академик Валентин Иванович Покровский (крупный ученый с мировым именем, клиницист-инфекционист, эпидемиолог) дал такое определение нейроинфекций: «Нейроинфекции — чрезвычайно гетерогенная группа распространённых заболеваний центральной и периферической нервной системы, характеризующихся, как правило, тяжёлым течением, высокой летальностью и стойкой инвалидизацией». В повседневной практике мне часто приходится встречаться с развитием нейроинфекции у больных, появившейся вследствие дегенеративно-дистрофических изменений в позвоночнике. В общем-то это естественно, так как, к примеру, длительное сдавление грыжей межпозвонкового диска оболочек спинного мозга или спинномозгового корешка вызывает развитие воспалительных процессов и приводит к эпидуриту, а порой и к арахноидиту. В свою очередь это обеспечивает идеальные условия для проникновения через очаг воспаления различных инфекционных агентов, особенно вирусов (от лат. virus — «яд»), которые таким образом, минуя гематоэнцефалический барьер, попадают непосредственно в спинномозговую жидкость (ликвор) и беспрепятственно распространяются по ликворным путям. А если при этом у больного имеется нарушение ликвородинамики вследствие сдавления ликворных путей грыжей межпозвонкового диска или же костными структурами позвоночника, что приводит к затруднению (замедлению) циркуляции ликвора и образует его длительные застои в нижней люмбальной цистерне (в пояснично-крестцовом отделе позвоночника), в боковых карманах спинномозговых корешков, то это в свою очередь вызывает нарушение питания тканей и обеспечивает идеальные условия для развития инфекционного процесса. А, как известно, инфекционный процесс составляет основу развития инфекционных заболеваний, по мере прогрессирования которых возникают значительные поражения спинного и головного мозга, нарушающие работу органов и систем организма.
Прочитали книгу? Предлагаем вам поделится своим впечатлением! Ваш отзыв будет полезен читателям, которые еще только собираются познакомиться с произведением.
Уважаемые читатели, слушатели и просто посетители нашей библиотеки! Просим Вас придерживаться определенных правил при комментировании литературных произведений.
Просьба отказаться от дискриминационных высказываний. Мы защищаем право наших читателей свободно выражать свою точку зрения. Вместе с тем мы не терпим агрессии. На сайте запрещено оставлять комментарий, который содержит унизительные высказывания или призывы к насилию по отношению к отдельным лицам или группам людей на основании их расы, этнического происхождения, вероисповедания, недееспособности, пола, возраста, статуса ветерана, касты или сексуальной ориентации. Просьба отказаться от оскорблений, угроз и запугиваний. Просьба отказаться от нецензурной лексики. Просьба вести себя максимально корректно как по отношению к авторам, так и по отношению к другим читателям и их комментариям.
Надеемся на Ваше понимание и благоразумие. С уважением, администратор My-Books.me.
Оставить комментарий
-
Александра15 январь 09:37
Очень интересная книга! Особенно, если любишь психологию и хочешь понимать себя и других. Обязательно послушаю до конца. Спасибо....
Кригер Борис – Гнев
-
Галина25 май 13:02
Очень уважаю Артема Шейнина, книга замечательная, очень мне близкая по духу.Перечитываю уже второй раз, столько пережитого и не...
Мне повезло вернуться - Артем Шейнин
-
Екатерина11 январь 08:05
Доброе утро. Подскажите пожалуйста как сохранять книги, ставить закладки?...
Подонок - Анастасия Леманн