Век самопознания. Поиски бессознательного в искусстве и науке с начала XX века до наших дней - Эрик Кандель
Книгу Век самопознания. Поиски бессознательного в искусстве и науке с начала XX века до наших дней - Эрик Кандель читаем онлайн бесплатно и без регистрации! Читать онлайн вы можете не только на компьютере, но и на андроид (Android), iPhone и iPad. Наслаждайтесь!
231 0 22:57, 14-05-2019Книга Век самопознания. Поиски бессознательного в искусстве и науке с начала XX века до наших дней - Эрик Кандель читать онлайн бесплатно без регистрации

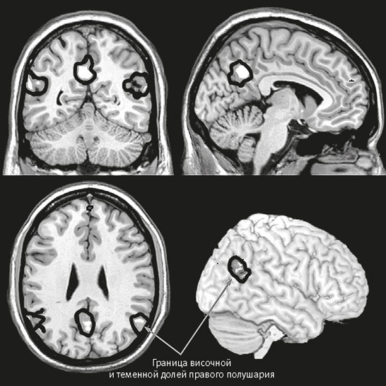
Рис. 25–6. Отделы мозга, активирующиеся, когда мы думаем о том, о чем думает другой человек.
Психолог Кевин Окснер из Колумбийского университета демонстрировал испытуемым небольшие фильмы, показывающие другого человека, и просил подражать его чувствам. Окснер назвал такое подражание, при котором испытуемый не только реагирует на чьи-либо действия и предполагаемые устремления на когнитивном уровне, но и подражает им, активной эмпатией. Эксперимент показал, что для точной интерпретации эмоционального состояния человека, которого испытуемый видел в фильме, требуется активность и участка границы височной и теменной долей, и зеркальных нейронов.
Можно предположить, что такое же сочетание восприятия биологических движений, работы зеркальных нейронов и модели психического состояния позволяет зрителю мысленно воспроизводить и переживать эмоции персонажей, изображенных художником. Искусно подбирая и часто утрируя черты лица и жесты, по которым участвующие в этом процессе отделы мозга читают мысли и чувства других людей в обыденной жизни, художники активируют нашу врожденную способность моделировать чужую психику.
Иерархическая система мозга, позволяющая формировать модель психического состояния, соединена с миндалевидным телом, а также некоторыми участками префронтальной коры, и динамично взаимодействует с ними. Миндалевидное тело выполняет множество функций, связанных с эмоциями, и управляет двумя эмоциональными системами – позитивной и негативной. Префронтальная кора, в свою очередь, собирает информацию о физиологических реакциях, запускаемых миндалевидным телом, и играет существенную роль в социальных когнитивных функциях. Например, один из отделов префронтальной коры отвечает за эмпатию, а другой – за совместное внимание (двух человек друг к другу и к общей задаче), которое требуется для того, чтобы совместными усилиями достичь общей цели. И эмпатия, и совместное внимание относятся к числу ключевых компонентов социальных когнитивных функций и сотрудничества.
“Вклад зрителя” связан с нисходящими процессами, позволяющими нам сравнивать свои реакции на каждую картину с имеющимся сходным опытом. Однако нашу способность понимать действия другого, как и многие аспекты социального поведения, участвующие во “вкладе зрителя”, обеспечивают и восходящие процессы. За формирование привязанности и другие социальные взаимодействия отвечают два нейромедиатора: вазопрессин и окситоцин. Исходя из этих данных, можно ожидать, что аутистам трудно делать умозаключения о намерениях художника в отношении мыслей и чувств персонажей картины.
Как мозг регулирует эмоции и эмпатию
Системы мозга, отвечающие за распознавание чужих эмоций и реакции на них, а также за формирование собственных эмоций и эмпатии, называют основными (рис. 26–1). Для нормальной жизни нам требуется способность прогнозировать и регулировать собственные эмоции и эмпатию. Эту способность обеспечивают модуляторные системы мозга. Они не могут включать и выключать основные системы, но настраивают их. Они похожи скорее на регулятор громкости радиоприемника, чем на выключатель.
Модуляцию эмоций и эмпатии в мозге обеспечивают врожденные восходящие процессы (в значительной степени генетически предопределенные) и нисходящие (опирающиеся на умозаключения и опыт). И те, и другие процессы влияют на наши социальные и эмпатические связи и способствуют, через “вклад зрителя”, восприятию произведений искусства (рис. 26–2). Поскольку с работой модуляторных нейронов связаны многие психические расстройства, например шизофрения и депрессия, и действие психотропных средств, они исключительно важны для медицины и фармакологии.

Рис. 26–1.
Мы лишь начинаем разбираться в нисходящей модуляции, но в ключевых восходящих модуляторных процессах в мозге нам уже многое понятно.
Большинство из шести восходящих модуляторных систем, которые ученым удалось найти в мозге, состоят из сравнительно небольшого числа нейронов (обычно нескольких тысяч). Однако эти нейроны связаны со многими отделами коры, в том числе с управляющими возбуждением, настроением, научением и регуляцией работы автономной нервной системы. Каждая модуляторная система отвечает за свою сторону эмоциональной жизни, и каждая запрограммирована на сотрудничество с другими, позволяющее мозгу формировать сложные эмоциональные состояния. Вещества, выделяемые этими нейронами, играют роль не только обычных нейромедиаторов, ненадолго активирующих рецепторы другого нейрона в синапсе, где эти вещества выделяются, но и роль нейрогормонов, способных активировать рецепторы нейронов, расположенных довольно далеко от места выделения.

Рис. 26–2. Нисходящая и восходящая модуляция нейронных сетей, задействован-ных во “вкладе зрителя” и социальной системе мозга.

Рис. 26–3.
Нейроны, управляющие нисходящей модуляцией, располагаются в переднем мозге, особенно в префронтальной коре, а нейроны, управляющие восходящей модуляцией, в основном концентрируются в среднем или заднем мозге (рис. 26–3). Аксоны нейронов системы восходящей модуляции протянуты во многие отделы мозга, участвующие в управлении эмоциями, мотивацией, вниманием и памятью, в том числе в миндалевидное тело, полосатое тело, гиппокамп и префронтальную кору. Эти структуры, в свою очередь, посылают информацию обратно в системы восходящей модуляции, обеспечивая нисходящий контроль их работы. При этом модуляторные системы выделяют разные нейромедиаторы, каждый из которых оказывает специфическое влияние на нашу физиологию и поведение.
Основные системы восходящей модуляции включают дофаминергическую (задействованную в ожидании или предсказании вознаграждения и восприятии неожиданных, ярких событий), эндорфиновую (приносящую чувство удовольствия и подавляющую боль), окситоциново-вазопрессиновую (обеспечивающую привязанность, социальное взаимодействие и доверие), норадренергическую (участвующую в концентрации внимания и стремлении к новизне, а также играющую роль в обеспечении некоторых форм страха), серотонергическую (способствующую формированию ряда эмоциональных состояний, в том числе ощущения безопасности, радости и грусти) и холинергическую (связанную с вниманием и хранением памяти).
Прочитали книгу? Предлагаем вам поделится своим впечатлением! Ваш отзыв будет полезен читателям, которые еще только собираются познакомиться с произведением.
Уважаемые читатели, слушатели и просто посетители нашей библиотеки! Просим Вас придерживаться определенных правил при комментировании литературных произведений.
Просьба отказаться от дискриминационных высказываний. Мы защищаем право наших читателей свободно выражать свою точку зрения. Вместе с тем мы не терпим агрессии. На сайте запрещено оставлять комментарий, который содержит унизительные высказывания или призывы к насилию по отношению к отдельным лицам или группам людей на основании их расы, этнического происхождения, вероисповедания, недееспособности, пола, возраста, статуса ветерана, касты или сексуальной ориентации. Просьба отказаться от оскорблений, угроз и запугиваний. Просьба отказаться от нецензурной лексики. Просьба вести себя максимально корректно как по отношению к авторам, так и по отношению к другим читателям и их комментариям.
Надеемся на Ваше понимание и благоразумие. С уважением, администратор My-Books.me.
Оставить комментарий
-
Александра15 январь 09:37
Очень интересная книга! Особенно, если любишь психологию и хочешь понимать себя и других. Обязательно послушаю до конца. Спасибо....
Кригер Борис – Гнев
-
Галина25 май 13:02
Очень уважаю Артема Шейнина, книга замечательная, очень мне близкая по духу.Перечитываю уже второй раз, столько пережитого и не...
Мне повезло вернуться - Артем Шейнин
-
Екатерина11 январь 08:05
Доброе утро. Подскажите пожалуйста как сохранять книги, ставить закладки?...
Подонок - Анастасия Леманн