Внимательный мозг. Научный взгляд на медитацию - Дэниел Сигел
Книгу Внимательный мозг. Научный взгляд на медитацию - Дэниел Сигел читаем онлайн бесплатно и без регистрации! Читать онлайн вы можете не только на компьютере, но и на андроид (Android), iPhone и iPad. Наслаждайтесь!
408 0 01:44, 14-05-2019Книга Внимательный мозг. Научный взгляд на медитацию - Дэниел Сигел читать онлайн бесплатно без регистрации
В существующих исследованиях, как мы сказали выше, был найден ряд данных, согласующихся с областями, обладающими зеркальными свойствами. Эти области активируются в ходе медитации. Например, это касается добавочной двигательной области, которая активируется во время медитации внимательности, а также активации премоторной области при медитации на безобъектном сострадании. Эти данные подтверждают участие областей, содержащих зеркальные нейроны. Конечно, эти данные отнюдь не гарантируют, что в этих ситуациях на самом деле активировались зеркальные нейроны.
В работах Брефжински-Льюис, Лазар и Шорта, выполненных с участием испытуемых, занимавшихся медитацией внимательности с сосредоточением на дыхании, была выявлена активация сопряженных областей в верхних отделах височной коры. Эти задние области на сканах мозга накладываются на области верхней височной извилины и верхней височной борозды. Кора содержит множество складок, выступающие области называются извилинами, а западающие – бороздами. Выполненные к настоящему времени исследования показали, что имитация и подражание связаны с областями, обладающими зеркальными свойствами, и с верхней височной бороздой, а другие исследования позволяют предположить, что в реакции на мимическое выражение эмоций у других людей участвует верхняя височная извилина. В межличностной сонастройке мы реагируем на выражение чужих лиц активацией извилины, воспринимающей это выражение, и активацией области борозды, где локализована способность к подражанию. Естественно, требуются дополнительные исследования для того, чтобы оценить роль каждой из этих областей – борозды и извилины – в медитации внимательности и ее корреляции с процессами сонастройки и отзеркаливания.
Обзор исследований роли верхней височной борозды, выполненный Десети и Шаминадом, показывает, что эта область участвует в зрительном восприятии социально значимых жестов и в наблюдении действий живых существ, например в восприятии биологического движения, разделяя эту функцию с верхней височной извилиной, так же как восприятие речи и звуков, производимых людьми. Авторы констатируют, что верхняя височная извилина – это часть височной коры.
Это важный компонент нейронального контура, участвующий в социальном познавании (контура, который через прямые и косвенные связи получает входы от вентральных и дорсальных зрительных потоков, от миндалины, глазнично-лобной коры и префронтальной коры). Этот кластер активности обнаруживается в обоих полушариях, если речь идет о противопоставлении активного подражания или состояния, когда подражают испытуемому, в отличие от ситуации, когда речь идет о самостоятельных действиях. Однако активация имеет место только в левом полушарии, когда устранялось влияние условия, согласно которому осуществляется подражание испытуемому, и оставалось лишь условие активного подражания. Латерализация активности верхней височной извилины – интригующая находка, и этот феномен может играть важную роль в нейронной основе различения между информацией от первого лица и информацией от третьего лица, воспринимаемых в зрительной модальности. Мы полагаем, что правая верхняя височная извилина участвует в начальном зрительном анализе чужих действий, в то время как соответствующая область левого полушария участвует в анализе других действий в их отношении к собственным намерениям.
Здесь мы видим, что верхняя височная извилина, вероятно, играет важную роль в создании репрезентаций себя, другого и состояний намеренности (или интенциональных состояний). В целом верхняя височная кора, видимо, играет важную роль в том, как мы приходим к ощущению нашего внутреннего мира и составляем карты намерений, накладывая ее на воспринятый текущий чувственный опыт.
Очень важно отметить утверждение Марко Якобони о том, что верхняя височная борозда и верхняя височная извилина – сенсорные области высокого уровня, содержащие нейроны, обладающие сложными зрительными, слуховыми и мультисенсорными свойствами, но не обладающие свойствами двигательными. Учитывая, что эти области лишены двигательных свойств, мы не можем считать их «зеркальными», ибо определение зеркального нейрона начинается с его участия в собственном действии, а поэтому зеркальный нейрон должен обладать двигательными свойствами. В своей статье об имитации и подражании Якобони отчетливо различает теменные и нижнелобные области локализации зеркальных нейронов и вклад в имитацию со стороны верхней височной борозды именно на основе вышеприведенных рассуждений. Употребляя термины система зеркальных нейронов или зеркальные нейроны, Якобони призывает нас корректно применять эти обозначения, поскольку они относятся к нейронам, специфически обладающим двигательными свойствами. С областями зеркальных нейронов непосредственно связаны верхние височные участки, в которых осуществляются сложные процессы восприятия, включая карту предугадывания последствий двигательных актов, которую мы называем сенсорными следствиями двигательного акта. Таким образом, вклад верхних отделов височной коры, отвечающей за такие следствия, – часть функционально сложного процесса, в ходе которого непосредственно взаимодействуют многие мозговые нейронные контуры. Несмотря на то что другие авторы могут включать эти сенсорные контуры в систему зеркальных нейронов, мы все же последуем предложению Якобони «различать эти две системы, непосредственно взаимодействующие друг с другом».
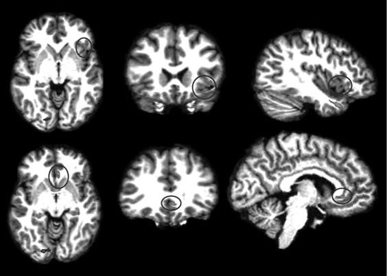
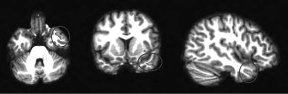
Анализируя далее научную литературу, мы пришли к выводу, что процесс поведенческого подражания с участием верхних отделов височной коры и эмоциональный (физиологический) резонанс, требующий участия островка, тоже имеют отношение к системе зеркальных нейронов. При подражании верхние отделы височной коры кодируют сложные процессы сенсорных следствий двигательных актов; при эмоциональном резонансе островок осуществляет физиологический и аффективный сдвиг, имитирующий его у другого человека. Исходя из параллелизма этих функций реципрокного действия (имитационной, физиологической и аффективной), мы можем использовать термин «резонансный контур», подразумевая, что в нем могут участвовать зеркальные нейроны, но не все компоненты этого контура двигательные, поэтому формально мы не можем назвать такой контур зеркальным. В нашем обсуждении мы примем во внимание это отличие и будем называть резонансный контур именно так, или будем прибегать к выражению «области, связанные с системой зеркальных нейронов» (рис. П.1 и П.2).
П.1
П.2

Рис. П.1, П.2. Функциональная МРТ, выполненная во время выполнения медитации осознавания дыхания. На снимках видна активация верхней височной извилины (рис. П.1) и активация островка и вентрального отдела передней поясной извилины (рис. П.2). Верхняя височная кора, островок и области срединной префронтальной коры (показанные здесь) вместе с системой зеркальных нейронов, как предполагается в тексте, содержат элементы «резонансного контура», которые активируются в ходе внимательного осознавания (снимки напечатаны с разрешения Сары Лазар © 2005)
Прочитали книгу? Предлагаем вам поделится своим впечатлением! Ваш отзыв будет полезен читателям, которые еще только собираются познакомиться с произведением.
Уважаемые читатели, слушатели и просто посетители нашей библиотеки! Просим Вас придерживаться определенных правил при комментировании литературных произведений.
Просьба отказаться от дискриминационных высказываний. Мы защищаем право наших читателей свободно выражать свою точку зрения. Вместе с тем мы не терпим агрессии. На сайте запрещено оставлять комментарий, который содержит унизительные высказывания или призывы к насилию по отношению к отдельным лицам или группам людей на основании их расы, этнического происхождения, вероисповедания, недееспособности, пола, возраста, статуса ветерана, касты или сексуальной ориентации. Просьба отказаться от оскорблений, угроз и запугиваний. Просьба отказаться от нецензурной лексики. Просьба вести себя максимально корректно как по отношению к авторам, так и по отношению к другим читателям и их комментариям.
Надеемся на Ваше понимание и благоразумие. С уважением, администратор My-Books.me.
Оставить комментарий
-
Александра15 январь 09:37
Очень интересная книга! Особенно, если любишь психологию и хочешь понимать себя и других. Обязательно послушаю до конца. Спасибо....
Кригер Борис – Гнев
-
Галина25 май 13:02
Очень уважаю Артема Шейнина, книга замечательная, очень мне близкая по духу.Перечитываю уже второй раз, столько пережитого и не...
Мне повезло вернуться - Артем Шейнин
-
Екатерина11 январь 08:05
Доброе утро. Подскажите пожалуйста как сохранять книги, ставить закладки?...
Подонок - Анастасия Леманн