Флипноз. Искусство мгновенного убеждения - Кевин Даттон
Книгу Флипноз. Искусство мгновенного убеждения - Кевин Даттон читаем онлайн бесплатно и без регистрации! Читать онлайн вы можете не только на компьютере, но и на андроид (Android), iPhone и iPad. Наслаждайтесь!
305 0 21:17, 12-05-2019Книга Флипноз. Искусство мгновенного убеждения - Кевин Даттон читать онлайн бесплатно без регистрации
Как и в первом варианте, вагонетка вот-вот наедет на пятерых. Но на сей раз вы стоите за спиной очень крупного незнакомца на пешеходном мосту над рельсами. Единственный способ спасти этих пятерых – толкнуть незнакомца. Он, безусловно, погибнет, но его массивное тело заблокирует вагонетку, спасая пять жизней.
Вопрос: следует ли вам толкать его?
Перед нами то, что можно было бы назвать «истинной» дилеммой. Хотя счет в жизнях тот же, что и в первом сценарии (пять к одному), выбор действия намного каверзнее.
Все же, почему именно так?
Психолог из Гарварда Джошуа Грин полагает, что у него есть ответ, и он сводится к холодности. Причина, которую предлагает Грин, кроется в структуре мозга – в соответствующих его областях, участвующих в решении каждой дилеммы.
В случае 1, предполагает он, происходит то, что можно назвать безличной моральной дилеммой, и вовлекаются области мозга, ответственные, прежде всего, за рассуждение и рациональное мышление: префронтальная кора и задняя теменная кора. Это, если помните, зоны переживания холодной эмпатии.
А вот в случае 2 имеет место то, что можно назвать личной моральной дилеммой, и вовлекаются центры эмоций. Мозжечковая миндалина. Цепи горячего сочувствия.
Так же, как вы или я, психопаты мало затрудняются с выбором решения в случае 1. Они щелкают переключателем, вагонетка переходит на другой путь, убивая лишь одного человека вместо пяти. Однако – и вот здесь-то и возникает интерес и принципиальное отличие от вас или меня – они столь же мало затрудняются в случае 2. Психопаты без малейшего колебания совершенно счастливы спихнуть толстяка на рельсы, если это то, что доктор прописал.
Кроме того, у этой разницы в поведении есть отличный нейронный признак. При решении безлично-моральных дилемм схема мозгового возбуждения и у нас, и у психопатов одинакова, но она совершенно иная, когда дело доходит до лично-моральных дилемм.
Предположим, я запихнул вас в аппарат фМРТ, а потом по очереди поставил перед вами эти две дилеммы, сначала одну, затем другую. Какую картину я наблюдал бы, пока вы пытались их решить?
А вот какую. Именно в тот момент, когда одна дилемма – безличная – сменялась другой – личной, я увидел бы, как ваша мозжечковая миндалина и связанные с нею мозговые цепи – например, средняя орбитофронтальная кора – сияют, словно рождественская елка.
Другими словами, я увидел бы, как вспыхивает эмоция.
А вот у психопатов я бы ничего не разглядел. Дом остался бы погруженным в темноту, и переход от безличной дилеммы к личной прошел бы незамеченным.
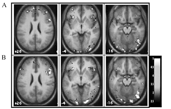
Аналогичную работу по идентификации выражений лица проводили Хизер Гордон и ее сотрудники в Центре когнитивной неврологии, в Дартмутском колледже. В процессе распознавания эмоций (участники которого должны были придавать своему лицу те же выражения, что поочередно появлялись перед ними на экране компьютера) Гордон сравнивала высокие и низкие значения маркеров по Методу исследования психопатической личности (МИЛ) – тесту, как мы уже знаем, разработанному специально для выявления преклинических психопатических черт у населения в целом.
Затем с помощью фМРТ она изучала то, что при этом происходило в их мозгу.
Обнаруженное ею оказалось весьма необычным и интересным. У тех, кто при тестировании выдал высокие результаты, активность мозжечковой миндалины снижалась по сравнению с теми, чьи результаты были ниже (что вполне согласуется с дефицитом в обработке эмоций по «горячим следам»), зато активность и зрительной, и дорсолатеральной зон префронтальной коры – повышалась.
Это, как отмечают Гордон с коллегами, указывает на то, что «участники с высокими результатами, дабы выполнить поставленную перед ними задачу распознавания эмоций, задействовали области, связанные с восприятием и познанием» (рис. 7.1).
Но еще интереснее стало, когда Гордон и ее команда, занявшись точностью распознавания… не выявили ничего. В отличие от паттернов активности головного мозга, здесь не нашлось ярко выраженных различий между высокими и низкими значениями маркеров по психопатическим чертам, а это дает веские основания предполагать, что прекрасно срабатывала любая стратегия, какую бы психопаты ни использовали случайно для расшифровки предъявленных им эмоций.
Правая часть дорсолатеральной префронтальной коры
Правая часть нижней лобной извилины
Зрительная зона
Рис. 7.1. Активность в зависимости от уровня оксигенации крови во время распознавания эмоций относительно базового уровня. (A) Участники, показавшие результаты ниже средних на PPL. (B) Участники, показавшие результаты выше средних на PPL. Картинки, представленные в неврологической ориентации: левая часть картинки соответствует левому полушарию мозга (по Гордон и др., 2004)
Саймон Барон-Коэн, психолог, профессор Кембриджского университета, пошел дальше. В его тесте «Распознавание эмоций по выражению глаз» («Reading the Mind in the Eyes») требуется рассмотреть фотографии глаз и на основе только этой визуальной информации охарактеризовать психическое состояние человека на фото (см. рис. 7.2).

Рис. 7.2. Тест «Распознавание эмоций по выражению глаз» (по Барону-Коэну и др., 2001)
Не так легко, как кажется на первый взгляд, верно? Большинство людей крутится в пределах двух из трех (впрочем, я выбрал уж точно не самые простые примеры). Один из трех – и вы успешно справитесь с ним (варианты ответов внизу страницы[53]).
Тест «Распознавание эмоций по выражению глаз», как вы уже, вероятно, поняли, представляет собой прекрасный пример полного отсутствия сопереживания – в противоположность горячему сочувствию, о чем мы только что говорили. Участники, в конце концов, не обязаны испытывать эмоцию, изображенную на картинках. Они должны ее просто распознавать.
А вот Барону-Коэну в голову пришла блестящая идея. Он спрашивал себя, как – в сравнении со всеми нами – психопатам удается проходить тест? В свете предыдущих результатов нейровизуализации (томографии головного мозга) можно было бы предположить, что у психопатов результаты должны практически ничем не отличаться от результатов остальных людей.
Прочитали книгу? Предлагаем вам поделится своим впечатлением! Ваш отзыв будет полезен читателям, которые еще только собираются познакомиться с произведением.
Уважаемые читатели, слушатели и просто посетители нашей библиотеки! Просим Вас придерживаться определенных правил при комментировании литературных произведений.
Просьба отказаться от дискриминационных высказываний. Мы защищаем право наших читателей свободно выражать свою точку зрения. Вместе с тем мы не терпим агрессии. На сайте запрещено оставлять комментарий, который содержит унизительные высказывания или призывы к насилию по отношению к отдельным лицам или группам людей на основании их расы, этнического происхождения, вероисповедания, недееспособности, пола, возраста, статуса ветерана, касты или сексуальной ориентации. Просьба отказаться от оскорблений, угроз и запугиваний. Просьба отказаться от нецензурной лексики. Просьба вести себя максимально корректно как по отношению к авторам, так и по отношению к другим читателям и их комментариям.
Надеемся на Ваше понимание и благоразумие. С уважением, администратор My-Books.me.
Оставить комментарий
-
Александра15 январь 09:37
Очень интересная книга! Особенно, если любишь психологию и хочешь понимать себя и других. Обязательно послушаю до конца. Спасибо....
Кригер Борис – Гнев
-
Галина25 май 13:02
Очень уважаю Артема Шейнина, книга замечательная, очень мне близкая по духу.Перечитываю уже второй раз, столько пережитого и не...
Мне повезло вернуться - Артем Шейнин
-
Екатерина11 январь 08:05
Доброе утро. Подскажите пожалуйста как сохранять книги, ставить закладки?...
Подонок - Анастасия Леманн