Живой мозг. Удивительные факты о нейропластичности и возможностях мозга - Дэвид Иглмен
Книгу Живой мозг. Удивительные факты о нейропластичности и возможностях мозга - Дэвид Иглмен читаем онлайн бесплатно и без регистрации! Читать онлайн вы можете не только на компьютере, но и на андроид (Android), iPhone и iPad. Наслаждайтесь!
171 0 14:00, 03-02-2023Книга Живой мозг. Удивительные факты о нейропластичности и возможностях мозга - Дэвид Иглмен читать онлайн бесплатно без регистрации
«Да», — ответила Валери.
«И сможете каждый день смотреть себе в глаза в зеркале, зная, что сами приняли такое решение?»
От бесконечной съедающей их тревоги Валери и Джим лишились сна. Переживет ли Мэтью операцию? Насколько вообще возможно жить при отсутствии половины мозга? И даже если возможно, не обречен ли Мэтью после удаления одного полушария получить инвалидность настолько тяжелую, что жизнь с ней немногим лучше смерти?
Но другого выхода не было. Нормальная жизнь под дамокловым мечом ежедневных множественных эпилептических припадков попросту нереальна. Родители ловили себя на том, что взвешивают, стоит ли неясный исход хирургического вмешательства того ущерба, который болезнь гарантированно нанесет их сыну.
В назначенный день они снова привезли Мэтью в Балтимор. И вот уже под маской детского размера мальчик погружается в анестетический сон. Лезвие скальпеля осторожно делает разрезы на обритой коже головы. Костная дрель высверливает в черепе круглое трепанационное отверстие.
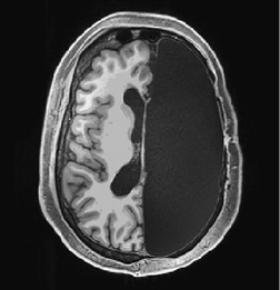
На протяжении нескольких часов хирург кропотливо удалял нежную розоватую мозговую ткань, составлявшую основу интеллекта Мэтью, его эмоций, способности говорить, чувства юмора, страхов и привязанностей. Извлеченная ткань, бесполезная в отрыве от своей биологической среды, отправлялась в маленькие контейнеры. Опустевшая половина черепа Мэтью медленно заполнялась спинномозговой жидкостью, что в ходе нейровизуализации отображалось черным пятном (рис. 1.1)2.

Рис. 1.1. У Мэтью хирургически удалена половина головного мозга
Источник: Kliemann D., et al. (2019). Intrinsic functional connectivity of the brain in adults with a single celebral hemisphere. Cell Reports. 2019 Nov 19; 29 (8): 2398–2407. © 2019, with permission from Elsevier
Позже, уже в послеоперационной палате, родители Мэтью пили больничный кофе стакан за стаканом, ожидая, когда сын проснется после наркоза. Каким он теперь будет, их мальчик? Кем вырастет, имея всего половину мозга?
* * *
Среди всех материальных объектов, обнаруженных представителями нашего вида на планете, ни один и близко не сравнится по сложности с нашим мозгом. Человеческий мозг состоит из 86 млрд клеток, называемых нейронами, которые быстро передают туда-сюда информацию в виде перемещающихся электрических импульсов3. Нейроны соединены друг с другом в густые замысловатые сети вроде лесных зарослей, причем общее количество нейронных соединений исчисляется сотнями триллионов (около 0,2 квадриллиона). Все это напоминает электрическую проводку в вашем доме. Чтобы лучше представить себе масштабы собственного мозга, исходите из того, что в одном кубическом миллиметре его кортикальной ткани связей больше, чем ныне живущих на нашей планете людей.
Однако самую интересную особенность мозга составляет не колоссальное количество нейронов, а способ их взаимодействия.
Учебники, реклама в СМИ и масскультура обычно изображают мозг как орган, каждый участок которого отвечает за свой круг задач. Скажем, вот эта область позволяет нам видеть, а вон та полоска нужна, чтобы мы понимали, как пользоваться орудиями и инструментами, вот этот участок активируется, когда мы преодолеваем желание съесть конфетку, а вон то пятнышко оживляется, когда мы обдумываем щекотливый нравственный вопрос. Словом, все области, участки и зоны мозга можно четко обозначить и подразделить на категории.
Однако такая хрестоматийная модель не дает полного представления о мозге человека, ибо упускает самую любопытную его особенность. Мозг представляет собой динамическую систему и непрерывно меняет конфигурацию соединений в соответствии с требованиями внешней среды и возможностями тела. Будь у вас волшебная видеокамера, чтобы взять крупным планом кипящий жизнью микрокосм под сводами вашего черепа, вы увидели бы, как нейроны вытягивают свои отростки-щупальца, которые жадно ищут, за что бы ухватиться, ощущают, соударяются, наталкиваются друг на друга, выискивают подходящие, чтобы сформировать новые связи или, наоборот, избежать их, — так жители какой-нибудь страны завязывают дружбу, заключают браки, поддерживают соседские отношения, создают политические партии, совершают вендетты и объединяются в социальные сообщества. Попробуйте представить свой мозг как место, где обитают, переплетаются и живут своей жизнью триллионы отдельных организмов. Мозг намного удивительнее, чем рисуют нам учебники, поскольку представляет собой загадочную вычислительную субстанцию, живую трехмерную ткань, которая меняется, реагирует и приспосабливается к изменениям, чтобы максимизировать свою продуктивность. Замысловатый рисунок соединений в мозге — нейронные сети — полнится жизнью: связи между нейронами беспрестанно меняются, расцветают, отмирают, изменяют форму. Сегодня вы уже не та личность, какой были год назад, потому что гигантский гобелен вашей мозговой ткани соткался в другой узор.
Когда вы что-то узнаёте, например адрес хорошего ресторана либо новую сплетню о вашем боссе, или слышите по радио новую привязчивую песенку, ваш мозг физически меняется. То же происходит с ним при финансовом успехе, социальном фиаско или эмоциональном возбуждении. Когда вы бросаете в корзину баскетбольный мяч, не соглашаетесь с коллегой, прилетаете в новый город, вглядываетесь в ностальгическую фотографию или слышите ласковые нотки в голосе любимого человека, обширные густо переплетенные джунгли вашего мозга перестраиваются, становясь слегка другими, чем мгновение назад. Эти перемены составляют нашу память — последствия того, как мы жили и любили. Бесчисленные изменения в мозге, накапливающиеся с течением минут, месяцев, а то и десятилетий, в общей сложности и складываются в личность, которая называется вами.
Или по крайней мере в ту личность, коей вы являетесь в данную минуту. Вчера вы были немного не такими, как сегодня. А завтра станете другими, кем раньше не были.
Другой секрет жизни
В один из дней 1953 года Фрэнсис Крик[2] ворвался в паб «Игл-энд-Чайлд» и с места в карьер ошарашил почтенную выпивающую публику, возгласив, что они с Джеймсом Уотсоном[3] разгадали секрет жизни: открыли структуру двойной спирали ДНК. То было одно из величайших открытий в науке, известия о которых когда-либо сотрясали стены пабов.
Позже выяснилось, что Крик и Уотсон разгадали лишь половину секрета. Зато другую половину невозможно найти в зафиксированной последовательности пар оснований ДНК, не описана она и ни в одном учебнике — ни сейчас, ни когда-либо вообще. Потому что вторая половина секрета жизни — это все, что нас окружает, и каждая частичка нашего опыта бытия в мире: текстуры и вкусы, нежности и автомобильные аварии, языки общения и романы4.
Чтобы лучше понять, о чем я толкую, представьте, что вы родились 30 тысяч лет назад, причем с точно такой же ДНК, — разве что, покинув материнское лоно, увидели мир, каким он был в те далекие исторические времена. Какими бы вы выросли? Находили бы вкус в том, чтобы, облачившись в шкуры, танцевать вокруг костра, дивясь на россыпи звезд в ночном небе? Или, сидя на верхушке дерева, предупреждали бы соплеменников громким выразительным ревом о приближении страшного саблезубого тигра? Тревожила бы вас ночевка под открытым небом, когда его обкладывали густые дождевые тучи?
Прочитали книгу? Предлагаем вам поделится своим впечатлением! Ваш отзыв будет полезен читателям, которые еще только собираются познакомиться с произведением.
Уважаемые читатели, слушатели и просто посетители нашей библиотеки! Просим Вас придерживаться определенных правил при комментировании литературных произведений.
Просьба отказаться от дискриминационных высказываний. Мы защищаем право наших читателей свободно выражать свою точку зрения. Вместе с тем мы не терпим агрессии. На сайте запрещено оставлять комментарий, который содержит унизительные высказывания или призывы к насилию по отношению к отдельным лицам или группам людей на основании их расы, этнического происхождения, вероисповедания, недееспособности, пола, возраста, статуса ветерана, касты или сексуальной ориентации. Просьба отказаться от оскорблений, угроз и запугиваний. Просьба отказаться от нецензурной лексики. Просьба вести себя максимально корректно как по отношению к авторам, так и по отношению к другим читателям и их комментариям.
Надеемся на Ваше понимание и благоразумие. С уважением, администратор My-Books.me.
Оставить комментарий
-
Александра15 январь 09:37
Очень интересная книга! Особенно, если любишь психологию и хочешь понимать себя и других. Обязательно послушаю до конца. Спасибо....
Кригер Борис – Гнев
-
Галина25 май 13:02
Очень уважаю Артема Шейнина, книга замечательная, очень мне близкая по духу.Перечитываю уже второй раз, столько пережитого и не...
Мне повезло вернуться - Артем Шейнин
-
Екатерина11 январь 08:05
Доброе утро. Подскажите пожалуйста как сохранять книги, ставить закладки?...
Подонок - Анастасия Леманн