Остеохондроз для профессионального пациента - Игорь Данилов
Книгу Остеохондроз для профессионального пациента - Игорь Данилов читаем онлайн бесплатно и без регистрации! Читать онлайн вы можете не только на компьютере, но и на андроид (Android), iPhone и iPad. Наслаждайтесь!
361 0 09:17, 12-05-2019Книга Остеохондроз для профессионального пациента - Игорь Данилов читать онлайн бесплатно без регистрации

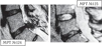
На МРТ № 124 состояние поясничного отдела позвоночника (до применения метода вертеброревитологии): в сегменте LIV-LV наблюдается выраженный дегенеративный процесс в межпозвонковом диске с разрушением пульпозного ядра, снижением его высоты; в сегменте LV-SI наблюдается секвестрированная грыжа межпозвонкового диска с разрывом задней продольной связки, абсолютный стеноз спинномозгового канала.
На МРТ № 125 того же пациента отмечается состояние поясничного отдела позвоночника после двух курсов лечения методом вертеброревитологии: в сегменте LV-SI наблюдается отсутствие грыжи межпозвонкового диска, спондилёз, небольшой участок гипертрофии задней продольной связки (в месте разрыва). Но самое примечательное то, что особо интересует вышеуказанных профессиональных специалистов, — в межпозвонковых дисках отмечен активный процесс репаративной регенерации. А в межпозвонковом диске в сегменте LIV-LV он практически достиг полной реституции!

сегмент LIV-LV (до лечения) сегмент LIV-LV (после лечения)
Примечание: как правило, на качественных снимках МРТ, очень чётко просматривается состояние диска, благодаря цветовой гамме. Тёмные участки межпозвонкового диска соответствуют участкам расположения некротизированных тканей (мёртвых клеток). Светлые участки межпозвонкового диска соответствуют участкам расположения функциональных тканей (живых клеток).
Другой интересный случай — устранение секвестрированной грыжи с соответствующей активацией процесса восстановления межпозвонковых дисков.
К сожалению, в последнее время остеохондроз всё больше охватывает молодое поколение. Повальная гиподинамия — нарушение функций опорно-двигательного аппарата, кровообращения, дыхания, пищеварения и так далее вследствие ограничения двигательной активности — распространённое явление среди молодёжи. Приведённый ниже случай является довольно типичным в моей врачебной практике.

На МРТ № 128 наблюдается состояние поясничного отдела позвоночника после операции: рецидив грыжи межпозвонкового диска в сегменте LV-Sr с отрывом секвестра и его миграции в краниально-дорсальном направлении, разрыв задней продольной связки.
На МРТ № 129 наблюдается состояние поясничного отдела позвоночника после лечения методом вертеброревитологии: отсутствие грыжи межпозвонкового диска в сегменте L — S. В межпозвонковых дисках в сегментах LIV-LV, L — SI наблюдается процесс репаративной регенерации.

На МРТ № 130 наблюдается состояние поясничного отдела позвоночника после двух хирургических операций: рецидив грыжи межпозвонкового диска в сегменте LV-SI.
На МРТ № 131 наблюдается состояние поясничного отдела позвоночника после лечения методом вертеброревитологии.
Рецидив грыжи межпозвонкового диска после двух хирургических операций — и это у молодого человека в возрасте 16 лет! Чрезмерное увлечение компьютером, малоподвижный образ жизни основательно подорвали его здоровье. Всё это привело к тому, что в течение года, начиная с пятнадцатилетнего возраста, он практически не выходил из больниц. После первой хирургической операции на позвоночнике, менее чем через месяц, боли возобновились. Спустя два месяца его вновь прооперировали по поводу рецидива — грыжи межпозвонкового диска. После второй хирургической операции боли наблюдались практически два месяца подряд, потом затихли, но полностью так и не прошли. Через пять месяцев появилась слабость в обеих ногах. Сделали снимки МРТ, диагностировали рецидив грыжи межпозвонкового диска, естественно рекомендовали сделать очередную третью хирургическую операцию. В промежутках между операциями молодой пациент несколько раз находился на стационарном лечении в неврологическом отделении городской больницы. Именно там, после того как у парня была диагностирована очередная грыжа, лечащий врач посоветовал не спешить с третьей операцией и порекомендовал ему обратиться ко мне в клинику. Конечно, этот случай был далеко не простым и пришлось основательно потрудиться как мне, так и самому пациенту над восстановлением его здоровья. Но зато результат порадовал всех тех, кто непосредственно участвовал в этом процессе, и кто косвенно ему способствовал. Можно сказать, ещё одна судьба была изменена и молодой человек спасён от инвалидной коляски.
МРТ № 132МРТ № 133

На МРТ № 132 и МРТ № 133 — увеличенные фрагменты МРТ № 130 межпозвонковых дисков в сегментах LIV-LV и LV—SI до лечения методом вертеброревитологии. Структура межпозвонковых дисков неоднородна.

На МРТ № 134 и МРТ № 135 — увеличенные фрагменты МРТ № 131 межпозвонковых дисков в сегментах LIV-LV и LV—SI, после лечения методом вертеброревитологии.
Наблюдается весьма интересное явление — репаративная регенерация. Обратите внимание, насколько уменьшилось количество некрозной (мёртвой) ткани и увеличилось функциональной (живой) ткани. Примечательно, что хондроциты при регенерации в данной фазе формируют вертикальные и наклонные «колонны» согласно вектору нагрузки на межпозвонковый диск в районе фиброзного кольца. В центре межпозвонкового диска наблюдается не менее интересное явление — начало регенерации пульпозного ядра!
Следующий случай можно назвать абсолютно беспрецедентным в истории науки вертебрологии и новым этапом в развитии вертеброревитологии. С помощью метода вертеброревитологии удалось практически полностью восстановить (по сути заново вырастить) отсутствующий межпозвонковый диск! И это без всяких химических препаратов, а исключительно благодаря естественному восстановлению биомеханики позвоночника — выстраиванию определённой биомеханической конструкции. При построении последней были достигнуты оптимальные условия для активизации резервных возможностей организма, что, в свою очередь, способствовало запуску репаративной регенерации вплоть до реституции диска, который в своё время был практически полностью удалён. Это удивительное явление, сравнимое разве что с реанимацией. Впрочем, всё по порядку.
Прочитали книгу? Предлагаем вам поделится своим впечатлением! Ваш отзыв будет полезен читателям, которые еще только собираются познакомиться с произведением.
Уважаемые читатели, слушатели и просто посетители нашей библиотеки! Просим Вас придерживаться определенных правил при комментировании литературных произведений.
Просьба отказаться от дискриминационных высказываний. Мы защищаем право наших читателей свободно выражать свою точку зрения. Вместе с тем мы не терпим агрессии. На сайте запрещено оставлять комментарий, который содержит унизительные высказывания или призывы к насилию по отношению к отдельным лицам или группам людей на основании их расы, этнического происхождения, вероисповедания, недееспособности, пола, возраста, статуса ветерана, касты или сексуальной ориентации. Просьба отказаться от оскорблений, угроз и запугиваний. Просьба отказаться от нецензурной лексики. Просьба вести себя максимально корректно как по отношению к авторам, так и по отношению к другим читателям и их комментариям.
Надеемся на Ваше понимание и благоразумие. С уважением, администратор My-Books.me.
Оставить комментарий
-
Александра15 январь 09:37
Очень интересная книга! Особенно, если любишь психологию и хочешь понимать себя и других. Обязательно послушаю до конца. Спасибо....
Кригер Борис – Гнев
-
Галина25 май 13:02
Очень уважаю Артема Шейнина, книга замечательная, очень мне близкая по духу.Перечитываю уже второй раз, столько пережитого и не...
Мне повезло вернуться - Артем Шейнин
-
Екатерина11 январь 08:05
Доброе утро. Подскажите пожалуйста как сохранять книги, ставить закладки?...
Подонок - Анастасия Леманн