Остеохондроз для профессионального пациента - Игорь Данилов
Книгу Остеохондроз для профессионального пациента - Игорь Данилов читаем онлайн бесплатно и без регистрации! Читать онлайн вы можете не только на компьютере, но и на андроид (Android), iPhone и iPad. Наслаждайтесь!
361 0 09:17, 12-05-2019Книга Остеохондроз для профессионального пациента - Игорь Данилов читать онлайн бесплатно без регистрации
В связи с этим событием рецепторы моментально посылают сигналы в головной и спинной мозг. Напомню, что нервная система обеспечивает очень быструю связь между отдалёнными друг от друга частями тела и по своей сложности гораздо превышает даже весьма непростую иммунную систему организма. Мозг, приняв информирующие афферентные импульсы (лат. afferens — приносящий), расшифровав их, создаёт и посылает ответные управляющие эфферентные импульсы (от лат. efferens, efferentis — выносящий) по запуску новой «программы» для данного участка, ликвидации последствий. В том числе «включается» повышенная защита от стрессорных повреждений и запускается механизм активной выработки регуляторных пептидов нервной ткани, в том числе энкефалинов и эндорфинов с целью уменьшения болевых ощущений.
Энкефалины и эндорфины (эндогенные опиатные пептиды) синтезируются в нейронах головного мозга (преимущественно в лимбической системе, гипофизе, гипоталамусе), некоторых клетках кишечника, а также имеются в спинном мозге (содержащем также опиатные рецепторы, проводящие пути, участвующие в передаче болевых импульсов). Данные нейропептиды обладают способностью функционировать в качестве нейромедиаторов, нейромодуляторов, уменьшать боль (морфиноподобным анальгезирующим действием), влиять на эмоциональное состояние, поведенческие реакции. Биосинтез пептидов осуществляется под контролем центральной нервной системы (ЦНС), поэтому эти биорегуляторы поступают в кровь или спинномозговую жидкость по мере необходимости.
Повышенный выброс опиоидных пептидов (являющийся ответом организма на внешнее воздействие, которое повлекло за собой нарушение функционального баланса) вызывает состояние эйфории, резкого улучшения настроения, физического и психического «благополучия», как говорят в народе, состояние «беспричинной радости». Таким образом возникает защитная эмоциональная реакция на стресс, которая всего лишь на некоторый период временно обезболивает или приглушает болевые ощущения в поражённом участке. Продолжительность жизни данных регуляторных пептидов довольно короткая. Потом происходит их инактивация, деградация (процесс упрощения, обратного развития) и удаление из системы циркуляции. Остатки аминокислот, из которых они были в основном построены, вновь используются для других биохимических синтезов в организме. Поэтому чувство «облегчения» после соответствующего «хруста», травмирующего суставную капсулу дугоотростчатых суставов, явление временное. Выделение эндогенных опиатных пептидов не избавляет от «старой проблемы» — дегенеративно-дистрофических нарушений в позвоночнике!
Согласно нейробиохимическим исследованиям было установлено, что привыкание людей к какому-либо раздражителю (или агенту) связано с изменёнными уровнями концентрации эндогенных опиатных пептидов в организме. На основе подобных исследований изучается проблема наркомании, восприимчивость и зависимость от наркотиков. Более того, как я уже упоминал, эндогенные опиатные пептиды влияют и на поведенческие реакции. Экспериментальным путём было установлено, что введение данных пептидов (к примеру, вэндорфина) животным в дозах, которые были меньше, чем необходимы для обезболивания, вызывали у них специфическое поведение. Например, у кошек наблюдались приступы ярости, у крыс — состояние, подобное кататонии (психическое расстройство с преобладанием двигательных нарушений).
Любопытен и другой факт. Было замечено, что во время продолжительной непрерывной тренировки, длительных нагрузок, к примеру во время бега (марафонского бега, бега на лыжах и так далее), когда обычно поднимается болевой порог, у бегуна начинают вырабатываться эндорфины, вследствие чего появляется необычное состояние эйфории. Выдвигаются разные спорные теории о причинах, порождающих выработку этих биорегуляторов. До недавнего времени одной из доминирующих считалась теория о выработке эндорфинов в качестве ответной реакции организма на выделение адреналина, на боль в мышцах. Однако последние исследования говорят о её несостоятельности. Тогда какова причина? А причина в том, что при аналогичных нагрузках гораздо в большей степени, чем мышечная боль, на выработку эндорфинов влияет длительное раздражение чувствительных рецепторов в дугоотростчатых суставах позвоночника! И опять-таки мы возвращаемся к тайнам (так до конца и не исследованным) дугоотростчатых суставов.

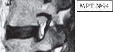
На МРТ № 94 наблюдается позвоночно-двигательный сегмент в стадии развития дегенерации. Высота межпозвонкового диска ещё сохранена, однако уже наблюдается разрушение пульпозного ядра, нарушение гидратации и так далее. В общем, явные признаки развития дегенеративно-дистрофического процесса. Конгруэнтность дугоотростчатого сустава пока ещё не нарушена, суставная капсула визуально целая, но с явными признаками травматизации за счёт перерастяжения. Несмотря на такую травматизацию, вследствие нестабильности, выраженную дегенерацию, человек не чувствует боли из-за работы вышеупомянутых рецепторов в дугоотростчатом суставе, благодаря сигналам которых запускается механизм выработки эндогенных опиатных пептидов. То есть, получается своеобразный феномен: наблюдается постоянная травматизация, а боли человек не чувствует.
Однако когда, к примеру, речь идёт не только о травматизации дугоотростчатого сустава за счёт перерастяжения суставной капсулы, а о стенозе фораминальных отверстий с ущемлением спинномозгового корешка, то здесь уже пациент чувствует явную боль, поскольку организм не справляется с данной ситуацией. Своей «болью», в качестве сигнала «тревоги», он «даёт знать» человеку о наличии серьёзной проблемы.

На МРТ № 95 и МРТ № 96 наблюдается практически идентичная картина дегенеративно-дистрофического процесса в поясничном отделе позвоночника у двух разных людей. Исправление физиологического лордоза, значительное снижение высоты межпозвонкового диска в сегменте LV—SI. За счёт сглаживания лордоза суставные поверхности дугоотростчатых суставов, подобно створкам раковины моллюска, раскрываются, суставная капсула растягивается, работа сустава извращается.
В данных случаях в сегментах LV—SI отмечается значительное снижение высоты межпозвонковых дисков, что приводит к образованию подвывиха в дугоотростчатых суставах, который сопровождается смещением верхних суставных отростков нижележащих позвонков кверху и несколько кпереди, стремлением упереться в дужку вышерасположенного позвонка. В нижнем сегменте (МРТ № 96) отчётливо видно, что вследствие подвывиха и смещения суставов образуется не только стеноз межпозвонкового отверстия, но (что важно) происходит и перерастяжение суставной капсулы. В такой ситуации даже сигналы рецепторов дугоотростчатых суставов уже не в состоянии «погасить» возникшую боль.
Так что у организма свои правила и не всегда можно беспечно рассчитывать на эндорфины. Кстати, в популярной литературе (с лёгкой руки журналистов) часто пишут о том, что эндорфины являются «гормонами счастья». Это утверждение не имеет под собой оснований. Эндорфины, так же как и другие подобные вещества в организме, которые открыты на сегодняшний день, являются всего лишь химическими соединениями, концентрация которых меняется эпизодически под влиянием внешних или внутренних факторов. Как известно, концентрация гормонов (от греч. hormao — возбуждаю, привожу в движение; биологически активные вещества, выполняющие важные биохимические и физиологические регуляторные функции) подвержена периодическим колебаниям, ритм которых может зависеть как от внутренних факторов, так от внешних (в том числе от времени дня, месяца, времени года). Всё это находится под сложным контролем ЦНС.
Прочитали книгу? Предлагаем вам поделится своим впечатлением! Ваш отзыв будет полезен читателям, которые еще только собираются познакомиться с произведением.
Уважаемые читатели, слушатели и просто посетители нашей библиотеки! Просим Вас придерживаться определенных правил при комментировании литературных произведений.
Просьба отказаться от дискриминационных высказываний. Мы защищаем право наших читателей свободно выражать свою точку зрения. Вместе с тем мы не терпим агрессии. На сайте запрещено оставлять комментарий, который содержит унизительные высказывания или призывы к насилию по отношению к отдельным лицам или группам людей на основании их расы, этнического происхождения, вероисповедания, недееспособности, пола, возраста, статуса ветерана, касты или сексуальной ориентации. Просьба отказаться от оскорблений, угроз и запугиваний. Просьба отказаться от нецензурной лексики. Просьба вести себя максимально корректно как по отношению к авторам, так и по отношению к другим читателям и их комментариям.
Надеемся на Ваше понимание и благоразумие. С уважением, администратор My-Books.me.
Оставить комментарий
-
Александра15 январь 09:37
Очень интересная книга! Особенно, если любишь психологию и хочешь понимать себя и других. Обязательно послушаю до конца. Спасибо....
Кригер Борис – Гнев
-
Галина25 май 13:02
Очень уважаю Артема Шейнина, книга замечательная, очень мне близкая по духу.Перечитываю уже второй раз, столько пережитого и не...
Мне повезло вернуться - Артем Шейнин
-
Екатерина11 январь 08:05
Доброе утро. Подскажите пожалуйста как сохранять книги, ставить закладки?...
Подонок - Анастасия Леманн