» » » Мозг. От хорошего к превосходному - Дэниэл Дж. Амен

Мозг. От хорошего к превосходному - Дэниэл Дж. Амен

Книгу Мозг. От хорошего к превосходному - Дэниэл Дж. Амен читаем онлайн бесплатно и без регистрации! Читать онлайн вы можете не только на компьютере, но и на андроид (Android), iPhone и iPad. Наслаждайтесь!

360 0 08:45, 26-05-2019
Мозг. От хорошего к превосходному - Дэниэл Дж. Амен
26 май 2019
Автор: Дэниэл Дж. Амен Жанр: Книги / Медицина Год публикации: 2013 Возрастные ограничения: (18+) Внимание! Аудиокнига может содержать контент только для совершеннолетних.
0 0

Книга Мозг. От хорошего к превосходному - Дэниэл Дж. Амен читать онлайн бесплатно без регистрации

Более 20 лет доктор Дэниэл Амен, знаменитый нейробиолог, занимается вопросами повышения эффективности работы мозга. Амен исследовал более 30 000 компьютерных томограмм мозга и уверен: его здоровье необходимо для всех аспектов качественной жизни. Когда мозг работает правильно, то у нас все благополучно, но если мозг «болен», начинаются неприятности. Поэтому улучшение работы мозга — самый важный первый шаг для улучшения жизни. В этой книге представлена пошаговая программа «превращения» хорошего мозга в превосходный всего за 15 дней. Программа включает в себя рекомендации по правильному питанию, профилактике микротравм мозга, советы по приему витаминов, физические упражнения, по защите от стрессов, повышению интеллекта и пр. Неважно, сколько вам лет, где вы живете, чем занимаетесь, каковы ваши жизненные приоритеты, как много вы знаете о мозге сейчас, — вы сможете его усовершенствовать.
1 2 3 ... 87
Перейти на страницу:

Глава 2
Когда мозг работает правильно, у вас все хорошо
Когда мозг не в порядке, в жизни начинаются неприятности

Именно мозг определяет эффективность вашей жизни. Этот принцип выглядит простым, но на самом деле он достаточно неоднозначный и может вызвать тревожность. Основная идея заключается в том, что мозг должен функционировать оптимально. Когда он работает правильно, вам легче оставаться эффективным родителем, ребенком, партнером, другом, коллегой, менеджером или общественным деятелем. Когда мозг функционирует правильно, вы имеете полный доступ к своему истинному Я. С другой стороны, если мозг болен, начинаются трудности в работе, отношениях, наедине с собой и в компаниях. Становится труднее проявлять свои лучшие качества и сильные стороны, нередко люди действуют вопреки своим ценностям, целям и представлениям о нравственности.

Принцип 2

Когда мозг работает правильно, у вас все хорошо. Когда мозг не в порядке, в жизни начинаются неприятности

Я вывел этот принцип в результате интерпретации сотен томограмм моих пациентов, поскольку не только читаю сканы, но и напрямую работаю с людьми и их семьями, изучаю историю их жизней. Уже в самом начале моей работы с томографией стало очевидно, что существует зависимость между качеством функций мозга на сканограммах и умением моих пациентов принимать решения, ставить цели и поддерживать отношения. Анализируя снимки, я стал размышлять о разнице между двумя типами поведения, которые я называю волевым поведением (управляемым силой воли) и мозговым поведением (управляемым неконтролируемыми импульсами мозга).

Реализовывать команды силы воли возможно только при здоровом мозге, поскольку лишь он позволяет людям делать осознанный выбор и в любой ситуации действовать себе во благо.

Волевое поведение продуктивно, оно способствует достижению целей, которые вы сами поставили. Например, приняв решение поступить в медицинский институт, человек должен очень усердно учиться, чтобы выдержать сложные экзамены.

Прежде чем объяснить, что такое «мозговое поведение», я хочу сделать небольшое отступление, чтобы рассказать о томографии, которую мы проводим в наших клиниках. Она называется ОЭКТ — однофотонная эмиссионная компьютерная томография — и относится к области ядерной медицины, то есть для оценки кровообращения и схем активности мозга используются крошечные дозы радиоизотопов. Сканограммы ОЭКТ отличаются от типичных анатомических снимков МРТ и КАТ, которые показывают строение мозга. ОЭКТ показывает только степень активности разных областей мозга — то, как он работает. Результаты сканов ОЭКТ очень легко интерпретировать. Нужно посмотреть на области мозга, которые работают хорошо, области, которые функционируют чересчур активно («перегреты») и на недостаточно активные области.

Затем мы сравниваем изучаемый скан с большой базой данных здоровых и абнормальных томограмм.

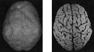
В этой книге используют трехмерные снимки мозга двух видов. Первый — это трехмерные снимки поверхности, которые фиксируют верхние 45 % активности мозга. На них показано кровообращение в коре мозга и подкорковых областях. По этим снимкам мы определяем области нормального кровообращения и области со сниженным доступом крови. С помощью таких томограмм выявляют инсульты, травмы и ущерб от наркотиков. Снимок здорового мозга должен показать ровную симметричную активность по всей поверхности коры мозга (рис. 2.1 и 2.2).


Трехмерное изображение поверхности здорового мозга ОЭКТ (вид поверхности сверху и снизу)


Рис. 2.1 Вид сверху

Полная симметричная активность


Мозг. От хорошего к превосходному

Рис. 2.2 Вид снизу

Полная симметричная активность


Мозг. От хорошего к превосходному

Сниженная активность выглядит на подобных сканах как дыра или вмятина. Эти «дыры» и «провалы» не означают, что активность мозга в этих местах совсем на нуле, она просто снижена, так как компьютер настроен показывать только верхние 45 % активности. Все, что меньше этого значения, выглядит как дыра или вмятина. Порог в 45 % выбран, поскольку он соответствует двум стандартным отклонениям от нормы[1] и, согласно нашим данным и данным других исследователей, является оптимальным для диагностических целей.

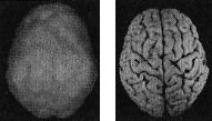
Второй тип томограмм — это трехмерные функциональные снимки, в которых компьютер сначала вычисляет среднюю активность мозга, а затем показывает верхние 15 % активности. Они помогают увидеть гиперактивные области, что полезно в диагностике припадков, разных типов тревожности и депрессии.

Здоровый трехмерный функциональный снимок (рис. 2.3 и 2.4) должен показывать активность (белым цветом) в задней части мозга (мозжечке) и визуальной, или затылочной, коре и среднюю активность в остальных местах (показано сеткой).


Трехмерное изображение функциональной активности здорового мозга ОЭКТ (вид поверхности сверху и снизу)


Рис. 2.3 Вид сверху


Мозг. От хорошего к превосходному

Рис. 2.4 Вид сверху


Мозг. От хорошего к превосходному

Примечание: В тексте книги будут использоваться иконки, которые помогут читателю понимать сканограммы и увидеть их отличия от нормы. Рис. А состоит из двух иконок: трехмерного изображения поверхности здорового мозга, вид сверху; и модели мозга с той же самой перспективы.


Мозг. От хорошего к превосходному

Рис. Б показывает трехмерный снимок поверхности здорового мозга, вид снизу, а нижняя иконка — это модель мозга с той же перспективы.


Мозг. От хорошего к превосходному

Рис. В показывает трехмерную картину активности здорового мозга, вид сверху, а ниже показан мозг в этой проекции.


Мозг. От хорошего к превосходному

1 2 3 ... 87
Перейти на страницу:
  1. Жалоба
Отзывы - 0

Прочитали книгу? Предлагаем вам поделится своим впечатлением! Ваш отзыв будет полезен читателям, которые еще только собираются познакомиться с произведением.


Уважаемые читатели, слушатели и просто посетители нашей библиотеки! Просим Вас придерживаться определенных правил при комментировании литературных произведений.

Просьба отказаться от дискриминационных высказываний. Мы защищаем право наших читателей свободно выражать свою точку зрения. Вместе с тем мы не терпим агрессии. На сайте запрещено оставлять комментарий, который содержит унизительные высказывания или призывы к насилию по отношению к отдельным лицам или группам людей на основании их расы, этнического происхождения, вероисповедания, недееспособности, пола, возраста, статуса ветерана, касты или сексуальной ориентации. Просьба отказаться от оскорблений, угроз и запугиваний. Просьба отказаться от нецензурной лексики. Просьба вести себя максимально корректно как по отношению к авторам, так и по отношению к другим читателям и их комментариям.

Надеемся на Ваше понимание и благоразумие. С уважением, администратор My-Books.me.


Новые отзывы

  1. Александра Александра15 январь 09:37 Очень интересная книга! Особенно, если любишь психологию и хочешь понимать себя и других. Обязательно послушаю до конца. Спасибо.... Кригер Борис – Гнев
  2. Галина Галина25 май 13:02 Очень уважаю Артема Шейнина, книга замечательная, очень мне близкая по духу.Перечитываю уже второй раз, столько пережитого и не... Мне повезло вернуться - Артем Шейнин
  3. Екатерина Екатерина11 январь 08:05 Доброе утро. Подскажите пожалуйста как сохранять книги, ставить закладки?... Подонок - Анастасия Леманн
Все комметарии
Новинки бесплатной онлайн библиотеки