Остеохондроз для профессионального пациента - Игорь Данилов
Книгу Остеохондроз для профессионального пациента - Игорь Данилов читаем онлайн бесплатно и без регистрации! Читать онлайн вы можете не только на компьютере, но и на андроид (Android), iPhone и iPad. Наслаждайтесь!
361 0 09:17, 12-05-2019Книга Остеохондроз для профессионального пациента - Игорь Данилов читать онлайн бесплатно без регистрации
Тракционные методы лечения— вытяжение
Слово тракция образовано от латинского слова tracto, что означает «тянуть», «тащить». Проще говоря, это вытяжение (лат. extensio). Вытяжение считается одним из основных ортопедических методов лечения, который применяется при повреждении и заболевании опорно-двигательного аппарата и их последствий. Суть данного метода заключается в том, что с помощью длительной или кратковременной тяги, применяемой в качестве противодействия естественному напряжению тканей, окружающих повреждённое место (к примеру сломанную кость), устраняется смещение отломков при переломе или же оказывается растягивающее действие на ту или иную область человеческого тела с целью устранения деформации или контрактуры (ограничения подвижности).
Лечение переломов костей, вывихов суставов с помощью определённых конструкций и аппаратов вытяжения было известно издревле. В своей медицинской практике их использовали такие исторические личности, как знаменитый врач, писатель Древнего Рима Клавдий Гален (II в. н. э.), великий среднеазиатский философ и врач Ибн-Сина (Авицена, XI век), один из выдающихся хирургов Средневековья французский врач Ги де Шолиак (XIV век). Фактически внедрение данного метода в активную практику началось лишь с XIX века, когда известный немецкий хирург, профессор Бернгард Барденгейер опубликовал капитальный труд о повреждениях конечностей, в котором предложил метод лечения переломов посредством вытяжения, сформулировав его основные положения.
В травматологии при свежих вывихах, переломах костей метод вытяжения действительно весьма эффективен. Одним из недостатков метода вытяжения при переломе кости считается длительная вынужденная иммобилизация пациента, которая негативно сказывается на его общем состоянии. Тем не менее, ради того чтобы кость срослась правильно, стоит потерпеть такие временные неудобства.
Однако если в травматологии при переломах костей метод вытяжения вполне себя оправдывает, то при лечении дегенеративно-дистрофических процессов в позвоночнике (тем более осложнённых протрузиями или грыжами межпозвонковых дисков), как показывает практика, тракционные методы лечения оказываются не только неэффективными, но и усиливающими и ускоряющими процессы дегенерации. Обращаю ваше внимание на то, что применение метода вытяжения при лечении остеохондроза позвоночника — вопрос в научных кругах до сих пор спорный, имеющий много весьма существенных нареканий.
Однако об этом, естественно, пациент не услышит ни в современной рекламе про разнообразные методы вытяжения позвоночника (тракционной терапии), ни в самих центрах, где практикуются данные методы. Наоборот, в рекламных буклетах можно прочитать следующее:
— «вытяжение позвоночника является эффективным средством лечения смещения дисков, сопровождающегося их выпячиванием»;
— «является одним из основных методов лечения неврологических проявлений остеохондроза позвоночника»;
— «тракционная терапия позволяет производить безоперационное лечение грыж межпозвонкового диска»;
— «вытяжение проводится, в первую очередь, для устранения болевого синдрома».
Последнее, как правило, выделяется особым шрифтом, чтобы пациент не пропустил главной зацепки для своего сознания «в первую очередь для устранения болевого синдрома», то есть следствия заболевания позвоночника, и не очень задумывался о причинах возникновения своей болезни и тем более о дальнейших последствиях такого «эффективного лечения». Однако давайте подробнее разберёмся, что такое вытяжение позвоночника, за счёт каких механизмов идёт временное устранение болевого синдрома и к каким последствиям это приводит в дальнейшем.
Как вы помните, позвоночно-двигательный сегмент является структурой трёхопорной (межпозвонковый диск и два дугоотростчатых сустава, на которые приходится вся нагрузка от веса вышележащей части тела и мышечных усилий). Чтобы понять суть данного метода, для начала рассмотрим на макете позвоночника, что происходит в процессе вытяжения с межпозвонковым сегментом.

На фото № 4 макета позвоночника наблюдается нормальное взаимоотношение суставных поверхностей в дугоотростчатых суставах.
На фото № 5 — нормальное взаимоотношение суставных поверхностей в дугоотростчатом суставе (увеличенный вариант).

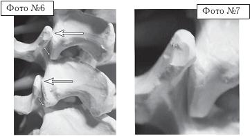
На фото № 6 макета позвоночника наблюдается смещение (подвывих) суставных поверхностей дугоотростчатых суставов.
На фото № 7 наблюдается смещение (подвывих) суставных поверхностей дугоотростчатого сустава (увеличенный вариант).

На фото № 8 макета позвоночника наблюдается перерастяжение дугоотростчатых суставов вследствие вытяжения.
На фото № 9 наблюдается перерастяжение дугоотростчатого сустава (увеличенный вариант).

Фото № 10
На фото № 10 макета позвоночника наблюдается нормальное взаимоотношение суставных поверхностей дугоотростчатых суставов, в норме высота межпозвонкового диска и межпозвонковых отверстий.

Фото № 11
На фото № 11 макета позвоночника наблюдается смещение (подвывих) суставных поверхностей дугоотростчатых суставов. Подобное смещение, как правило, происходит вследствие развития дегенеративно-дистрофических процессов в межпозвонковом диске. При этом уменьшается высота диска, сужается просвет фораминального отверстия (межпозвонкового), что может способствовать ущемлению спинномозговых корешков (нервов) и сосудов.

Фото № 12
На фото № 12 макета позвоночника наблюдается перерастяжение дугоотростчатого сустава вследствие вытяжения, расширение фораминального отверстия, а также растяжение задних отделов фиброзного кольца межпозвонкового диска и сближение вентральных (передних) отделов тел позвонков. Это приводит межпозвонковый диск в клиновидное состояние, что способствует выталкиванию содержимого межпозвонкового диска из передних его отделов в задние.
Прочитали книгу? Предлагаем вам поделится своим впечатлением! Ваш отзыв будет полезен читателям, которые еще только собираются познакомиться с произведением.
Уважаемые читатели, слушатели и просто посетители нашей библиотеки! Просим Вас придерживаться определенных правил при комментировании литературных произведений.
Просьба отказаться от дискриминационных высказываний. Мы защищаем право наших читателей свободно выражать свою точку зрения. Вместе с тем мы не терпим агрессии. На сайте запрещено оставлять комментарий, который содержит унизительные высказывания или призывы к насилию по отношению к отдельным лицам или группам людей на основании их расы, этнического происхождения, вероисповедания, недееспособности, пола, возраста, статуса ветерана, касты или сексуальной ориентации. Просьба отказаться от оскорблений, угроз и запугиваний. Просьба отказаться от нецензурной лексики. Просьба вести себя максимально корректно как по отношению к авторам, так и по отношению к другим читателям и их комментариям.
Надеемся на Ваше понимание и благоразумие. С уважением, администратор My-Books.me.
Оставить комментарий
-
Александра15 январь 09:37
Очень интересная книга! Особенно, если любишь психологию и хочешь понимать себя и других. Обязательно послушаю до конца. Спасибо....
Кригер Борис – Гнев
-
Галина25 май 13:02
Очень уважаю Артема Шейнина, книга замечательная, очень мне близкая по духу.Перечитываю уже второй раз, столько пережитого и не...
Мне повезло вернуться - Артем Шейнин
-
Екатерина11 январь 08:05
Доброе утро. Подскажите пожалуйста как сохранять книги, ставить закладки?...
Подонок - Анастасия Леманн