Остеохондроз для профессионального пациента - Игорь Данилов
Книгу Остеохондроз для профессионального пациента - Игорь Данилов читаем онлайн бесплатно и без регистрации! Читать онлайн вы можете не только на компьютере, но и на андроид (Android), iPhone и iPad. Наслаждайтесь!
361 0 09:17, 12-05-2019Книга Остеохондроз для профессионального пациента - Игорь Данилов читать онлайн бесплатно без регистрации
Известно, что болезнь легче предупредить, чем лечить. Что такое боль? Это, в первую очередь, сигнал о том, что в организме происходят неполадки. Постоянные хронические боли — это уже сигнал о серьёзных проблемах в организме, поэтому надо не только уметь слышать свой организм, но и оперативно реагировать на его сигналы. Боль в шее — ощущение не из приятных. Это вам скажет любой человек, испытавший её. Чтобы понять причину происхождения боли и установить точный диагноз, необходимо, в первую очередь, провести обследование, поскольку боли могут быть похожие, а вот причины их происхождения, как мы уже смогли убедиться, разные, следовательно и лечение разное. С заболеваниями позвоночника вообще желательно не затягивать, а своевременно обращаться к специалистам. Профилактика заболеваний позвоночника в любом случае не помешает, а вот самолечение без соответствующих знаний может и навредить.
Как известно, шейный отдел позвоночника обильно снабжён сосудами, нервами. Пока позвоночник относительно «здоров» и имеет нормальный лордоз и «рабочее» состояние межпозвонковых дисков, то с сосудами, нервами, как правило, всё в порядке, то есть всё функционирует в естественном режиме. При прогрессировании дегенеративно-дистрофического процесса физиологический лордоз изменяется, что приводит к соответствующим проблемам. Для более предметного понимания сути вопроса предлагаю ознакомиться с рядом снимков МРТ шейного отдела позвоночника разных людей в качестве своеобразного визуального пособия и провести соответствующие самостоятельные сравнения состояния шейного отдела у данных пациентов.
МРТ № 46

Возьмём за вариант нормы данный снимок МРТ № 46, на котором наблюдается нормально выраженный лордоз, высота межпозвонковых дисков, ширина позвоночного канала. Самое главное — отсутствие стеноза (сужения).
Спинной мозг: контуры ровные, чёткие, структура гомогенная (греч. homogees — однородный), расположен почти в центре позвоночного канала и имеет нормальную толщину. Участков его патологического расширения или сужения не наблюдается. Ликворные пути свободны, проходимы.

На МРТ № 47 наблюдается сглаженность лордоза с незначительной кифотизацией, которая привела к абсолютному стенозу спинномозгового канала и блоку ликворных путей, а также протрузии в сегменте СIV-СV, вентральному спондилёзу в сегменте CV-CVI и остеофитозу в сегменте CVI-CVII, гипертрофии передней и задней продольных связок.
Это наиболее значительные проблемы в данном отделе.

На МРТ № 48 наблюдается сглаженность лордоза, но без кифотической деформации, снижение высоты межпозвонковых дисков, протрузии в сегментах CV-CVI и CVI-CVII, частично компенсированные спондилёзом, выражены краевые остеофиты на данном уровне, абсолютный стеноз и блок ликворных путей, гипертрофия передней и задней продольных связок.

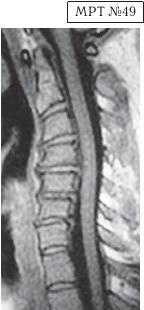
На МРТ № 49 наблюдается кифоз шейного отдела позвоночника, хотя он и не привёл к абсолютному стенозу спинномозгового канала позвоночника, однако значительно нарушил ликвородинамику. Вентральное эпидуральное пространство блокировано вершиной кифоза с экскавацией и оттеснением спинного мозга, а дорсальное эпидуральное пространство блокируется чуть ниже от вершины задней стенкой спинномозгового канала.
МРТ № 50

На МРТ № 50 наблюдается гиперлордоз шейного отдела позвоночника с плотным прилеганием спинного мозга к задним отделам спинномозгового канала и выраженными ликвородинамическими нарушениями (что хорошо видно на МРТ головного мозга).
В описании снимков я уже неоднократно упоминал характеристики состояния ликворных путей, ликвородинамики. Пожалуй стоит напомнить, что такое ликвор и почему он столь важен для жизнедеятельности организма. Ликвор (лат. liquor — «жидкость») или как его ещё называют цереброспинальная жидкость (лат. cerebrum — «головной мозг»; spinalis — «спинной мозг») — это бесцветная, прозрачная жидкость, заполняющая полости спинного и головного мозга и постоянно циркулирующая в желудочках головного мозга, ликворопроводящих путях, а также субарахноидальном (под паутинной оболочкой) пространстве головного и спинного мозга. В основном ликвор образуется в желудочках головного мозга за счёт секреции сосудистых сплетений, а также в эпендиме (греч. ependyma — «верхний покров»; тонкая оболочка, выстилающая желудочки головного мозга и центральный канал спинного мозга) и мозговой паренхиме. Всего мозговая паренхима с её капиллярным эндотелием создает около 10 % ликвора. В сутки образуется около 500 мл ликвора. Обновляется он в течение этого времени от 3 до 7 раз! Обращаю на это внимание особенно тех людей, которые испытывают психологический страх перед проведением такой лабораторной процедуры, как спинномозговая пункция (пункция субарахноидального пространства спинного мозга, люмбальная пункция, поясничный прокол) с диагностической или лечебной целью. При соблюдении всех предосторожностей эта процедура практически безопасна. Приблизительно через два часа ликвор полностью восстанавливается!
Наибольшее количество ликвора находится в системе мозговых желудочков и в поясничном расширении спинномозгового канала. Кстати, ликвор, находящийся в поясничной области субарахноидального пространства спинного мозга, перемещается краниально (вверх) и достигает базальных цистерн в течение одного часа. Линейная скорость циркуляции ликвора довольно мала — всего около 0,3–0,5 см/мин, а объёмная — 0,2–0,7 мл/мин. Ликвор циркулирует в желудочках и над поверхностями головного и спинного мозга. Он связан с кровью непосредственно через гематоэнцефалический барьер (греч. haima — «кровь», enkephalos — «мозг»; физиологический механизм, регулирующий обмен веществ между кровью, ликвором и мозгом), арахноидальную мембрану (arachnoidea — «паутинная оболочка головного или спинного мозга»; греч. arachne — «паук», eidos — «вид, сходство»), ворсинки паутинной оболочки, через сплетения и внеклеточную жидкость мозговой паренхимы (греч. parechyma, от para — «возле», enchyma — «влитое, разлитое»; специфическая ткань какого-либо органа, выполняющая основную функцию этого органа).
Прочитали книгу? Предлагаем вам поделится своим впечатлением! Ваш отзыв будет полезен читателям, которые еще только собираются познакомиться с произведением.
Уважаемые читатели, слушатели и просто посетители нашей библиотеки! Просим Вас придерживаться определенных правил при комментировании литературных произведений.
Просьба отказаться от дискриминационных высказываний. Мы защищаем право наших читателей свободно выражать свою точку зрения. Вместе с тем мы не терпим агрессии. На сайте запрещено оставлять комментарий, который содержит унизительные высказывания или призывы к насилию по отношению к отдельным лицам или группам людей на основании их расы, этнического происхождения, вероисповедания, недееспособности, пола, возраста, статуса ветерана, касты или сексуальной ориентации. Просьба отказаться от оскорблений, угроз и запугиваний. Просьба отказаться от нецензурной лексики. Просьба вести себя максимально корректно как по отношению к авторам, так и по отношению к другим читателям и их комментариям.
Надеемся на Ваше понимание и благоразумие. С уважением, администратор My-Books.me.
Оставить комментарий
-
Александра15 январь 09:37
Очень интересная книга! Особенно, если любишь психологию и хочешь понимать себя и других. Обязательно послушаю до конца. Спасибо....
Кригер Борис – Гнев
-
Галина25 май 13:02
Очень уважаю Артема Шейнина, книга замечательная, очень мне близкая по духу.Перечитываю уже второй раз, столько пережитого и не...
Мне повезло вернуться - Артем Шейнин
-
Екатерина11 январь 08:05
Доброе утро. Подскажите пожалуйста как сохранять книги, ставить закладки?...
Подонок - Анастасия Леманн