Лестница жизни. Десять великих изобретений эволюции - Ник Лэйн
Книгу Лестница жизни. Десять великих изобретений эволюции - Ник Лэйн читаем онлайн бесплатно и без регистрации! Читать онлайн вы можете не только на компьютере, но и на андроид (Android), iPhone и iPad. Наслаждайтесь!
208 0 10:38, 25-05-2019Книга Лестница жизни. Десять великих изобретений эволюции - Ник Лэйн читать онлайн бесплатно без регистрации

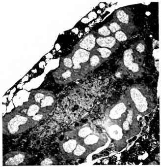
Бактериальные клетки, живущие внутри других бактериальных клеток. Многочисленные гамма-протеобактерии (пестрые, светло-серые) живут внутри бета-протеобактерий (однотонного темно-серого цвета), которые, в свою очередь, живут внутри эукариотической клетки, пятнистое ядро которой располагается в центре нижней части фотографии.
Как сделать выбор между этими возможностями? Мы уже убедились, что характерные гены эукариот ничем нам не помогут. Мы не можем по ним узнать, эволюционировали ли они дольше четырех миллиардов лет или всего два миллиарда, и возникли ли они до объединения с митохондриями или после него. Даже медленно эволюционирующие гены, для которых имеются соответствующие гены прокариот, не позволяют сделать надежные выводы: все зависит оттого, какие именно гены мы выберем. Например, если взять схему Везе, построенную на основе гена рибосомальной РНК, можно убедиться, что она совместима с моделью примитивного фагоцита: согласно этой схеме эукариоты и архей представляют собой “сестринские” группы, имеющие общего предка: у них как бы была общая “мать”. Это означает, что эукариоты не произошли непосредственно от архей, так же как одна сестра не происходит от другой. Общий предок в данном случае почти наверняка относился к прокариотам (если нет, то все архей должны были утратить уже приобретенное их предками ядро), но что-либо еще о нем трудно сказать с уверенностью. Возможно, линия эукариот развилась в примитивного фагоцита еще до того, как обзавелась митохондриями, но имеющимися генетическими данными эта догадка не подтверждается.
Но если мы построим более сложные генеалогические деревья, основанные на большем числе генов, то сестринские отношения между эукариотами и археями начнут разваливаться и получится, что эукариоты действительно произошли от архей. От каких именно архей, точно не известно, но результаты крупнейшего проведенного на настоящий момент исследования (того самого, которое я уже упоминал, где для построения “супердерева” были использованы данные по 5700 генам) указывают, что клетка-хозяин, от которой произошли эукариоты, была настоящей археей, ближайшими современными родственниками которой могут быть термоплазмы. Разница между этими двумя выводами принципиальна. Если клетка-хозяин была настоящей археей (то есть, по определению, прокариотической клеткой, не имевшей ядра, настоящего полового процесса, подвижного скелета и не способной к фагоцитозу), то она, очевидно, не могла быть примитивным фагоцитом. А если так, то должна быть верна гипотеза “судьбоносной встречи”: эукариотическая клетка родилась из союза прокариотических клеток. Никакого примитивного фагоцита никогда не было, и свидетельство его существования оборачивается свидетельством того, что он никогда не существовал.
Но и это еще едва ли окончательный ответ. Очень многое зависит от того, какие именно гены отбираются для анализа и каковы критерии их отбора. Всякий раз, когда такие критерии меняются, меняется и схема ветвления получаемого дерева, причем ситуацию еще больше запутывают статистические допущения, горизонтальный перенос генов между прокариотами и другие неизвестные переменные. Позволят ли новые данные решить эту проблему раз и навсегда, или решить ее генетическими методами просто невозможно — трудно сказать (это было бы биологическим эквивалентом физического принципа неопределенности: чем подробнее мы рассматриваем картину, тем менее четкой она становится). Но если генетические данные не позволяют найти однозначное решение, означает ли это, что мы обречены наблюдать бесконечные перепалки между непримиримыми фракциями ученых? Может, и нет. Вероятно, существует другой способ поставить точку в этом споре.
Все известные эукариотические клетки имеют митохондрии либо происходят от клеток, у которых когда-то имелись митохондрии. И, как ни странно, все митохондрии, по-прежнему функционирующие как митохондрии, то есть вырабатывающие энергию с помощью кислорода, сохранили небольшой набор генов, доставшихся от предков — свободноживущих бактерий. По-моему, именно в этом крошечном митохондриальном геноме кроется разгадка великой тайны происхождения эукариотической клетки.
Ветви эукариот расходятся уже почти два миллиарда лет, и все это время они независимо друг от друга теряли свои митохондриальные гены. Все они утратили от 96 до 99,9 % таких генов, возможно, перенеся большинство из них в клеточное ядро, но никто не лишился всех митохондриальных генов, не лишившись вместе с тем способности использовать кислород для получения энергии. Не похоже, чтобы это было случайностью. Передача митохондриальных генов в ядро — закономерный и упорядоченный процесс. Зачем хранить сотни генетических аванпостов в каждой клетке, когда 99,9 % генов хранятся в единственном экземпляре, плюс резервная копия, в ее ядре? А сохранение хоть каких-нибудь генов в митохондриях означает необходимость сохранить в каждой митохондрии и весь аппарат для записанной на этих генах информации и ее трансляции, то есть синтеза на ее основе активных белков. Такая расточительность вызвала бы неодобрение любого фининспектора, а естественный отбор — святой-покровитель фининспекторов (или, по крайней мере, по праву мог бы считаться таковым).
Дальше — больше. Митохондрии — ужасно неудобное место для хранения генов. Их часто образно называют электростанциями клетки, и эта метафора совершенно точна. На мембранах митохондрий возникает разность электрических зарядов, разделенных расстоянием в несколько миллионных долей миллиметра, и создающееся при этом напряжение сравнимо с тем, что вызывает молнии во время грозы, и раз в тысячу выше, чем напряжение в бытовых электросетях. Хранить там гены — это как хранить ценнейшие книги Британской библиотеки на атомной электростанции сомнительных достоинств. Причем угроза здесь отнюдь не чисто теоретическая. Митохондриальные гены мутируют гораздо быстрее, чем гены, хранящиеся в ядре. Например, у дрожжей (удобного модельного объекта, используемого во многих экспериментах) первые мутируют в десять тысяч раз быстрее вторых. Но, несмотря на все это, принципиально важно, чтобы оба генома (ядерный и митохондриальный) должным образом совместно функционировали. Высоковольтное напряжение, дающее энергию эукариотическим клеткам, генерируется белками, закодированными в обоих геномах. Любой сбой в их совместной работе чреват гибелью — как отдельной клетки, так и многоклеточного организма. Итак, оба генома обязательно должны сотрудничать, вырабатывая энергию. Стоит им не сработаться, и это приведет к смерти, однако митохондриальные гены мутируют в десять тысяч раз быстрее ядерных, что ставит их необходимое тесное сотрудничество на грань невозможного. Это едва ли не самая удивительная особенность эукариотических клеток. Отмахнуться от нее как от обычной странности, как это делают авторы многих учебников, значит упустить потрясающий ключ к разгадке большой тайны. Если бы от всех митохондриальных генов было полезно избавиться, то можно было бы не сомневаться, что естественный отбор давно бы это сделал (хотя бы у одного какого-нибудь вида). Раз этого не произошло, значит, для их сохранения есть причина.
Прочитали книгу? Предлагаем вам поделится своим впечатлением! Ваш отзыв будет полезен читателям, которые еще только собираются познакомиться с произведением.
Уважаемые читатели, слушатели и просто посетители нашей библиотеки! Просим Вас придерживаться определенных правил при комментировании литературных произведений.
Просьба отказаться от дискриминационных высказываний. Мы защищаем право наших читателей свободно выражать свою точку зрения. Вместе с тем мы не терпим агрессии. На сайте запрещено оставлять комментарий, который содержит унизительные высказывания или призывы к насилию по отношению к отдельным лицам или группам людей на основании их расы, этнического происхождения, вероисповедания, недееспособности, пола, возраста, статуса ветерана, касты или сексуальной ориентации. Просьба отказаться от оскорблений, угроз и запугиваний. Просьба отказаться от нецензурной лексики. Просьба вести себя максимально корректно как по отношению к авторам, так и по отношению к другим читателям и их комментариям.
Надеемся на Ваше понимание и благоразумие. С уважением, администратор My-Books.me.
Оставить комментарий
-
Александра15 январь 09:37
Очень интересная книга! Особенно, если любишь психологию и хочешь понимать себя и других. Обязательно послушаю до конца. Спасибо....
Кригер Борис – Гнев
-
Галина25 май 13:02
Очень уважаю Артема Шейнина, книга замечательная, очень мне близкая по духу.Перечитываю уже второй раз, столько пережитого и не...
Мне повезло вернуться - Артем Шейнин
-
Екатерина11 январь 08:05
Доброе утро. Подскажите пожалуйста как сохранять книги, ставить закладки?...
Подонок - Анастасия Леманн