ДНК. История генетической революции - Джеймс Д. Уотсон
Книгу ДНК. История генетической революции - Джеймс Д. Уотсон читаем онлайн бесплатно и без регистрации! Читать онлайн вы можете не только на компьютере, но и на андроид (Android), iPhone и iPad. Наслаждайтесь!
202 0 02:56, 27-05-2019Книга ДНК. История генетической революции - Джеймс Д. Уотсон читать онлайн бесплатно без регистрации
Через пятьдесят лет после появления теста забора крови из пятки у новорожденных Роберт Грин и его коллеги из Гарвардской медицинской школы запустили Baby Seq – рандомизированное клиническое исследование, в рамках которого планируется отсеквенировать геномы более сотни новорожденных и отследить в них 1700 заболеваний, начинающихся в детском возрасте. Для Гарварда это всего лишь небольшое клиническое исследование, но оно даст возможность совершить огромный скачок в оценке пользы от всеобщего скрининга новорожденных.
На 1950-е годы пришлось активное развитие цитогенетики – изучения хромосом под микроскопом. В диагностической практике этот подход показал, что при нарушении числа хромосом, когда их больше или меньше нормы, неизбежно возникают тяжелейшие болезни. Проблемы связаны с дисбалансом числа генов, то есть с отклонением от нормы «по два гена от каждого». Подобные расстройства не передаются по наследству, как миодистрофия Дюшенна или муковисцидоз, но все равно являются по сути генетическими; они возникают спонтанно при сбоях в клеточном делении и при образовании дефектных сперматозоидов и яйцеклеток.
Наиболее известная из таких болезней – синдром Дауна. Названа болезнь в честь Джона Лэнгдона Дауна, который в 1866 году впервые описал его характерные клинические признаки. «…Это [внешнее сходство] столь выраженное, что, если посадить таких детей бок о бок, сложно поверить, что они из разных семей». Девяносто лет спустя французский врач Жером Лежен обнаружил, что у детей с синдромом Дауна по три экземпляра одной хромосомы (впоследствии выяснилось, что лишняя 21-я хромосома). Среди генетиков-профессионалов такое расстройство именуется «трисомия 21».

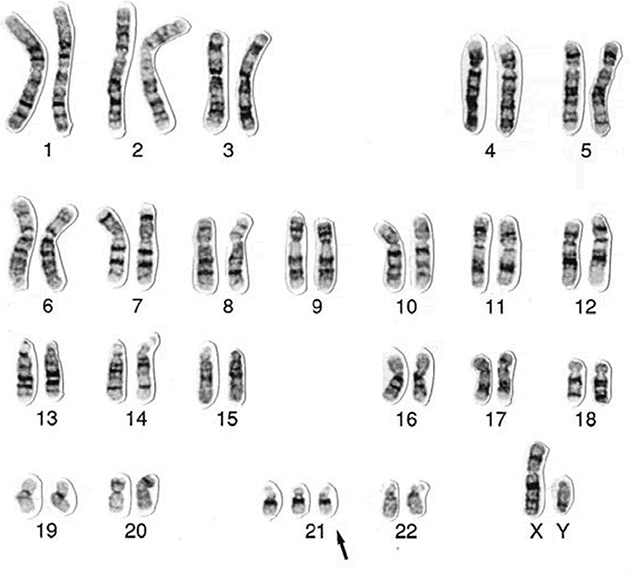
Трисомия 21 (синдром Дауна). Кариотип (полный набор хромосом), взятый у мужчины с синдромом Дауна. Обратите внимание на лишнюю 21-ю хромосому
Чем старше мать, тем выше риск синдрома Дауна. Когда матери 20, вероятность родить такого ребенка составляет примерно 1:1700, когда 35 – уже 1:400, а в 45 достигает 1:30. Именно поэтому многие старородящие женщины выбирают пренатальную диагностику, позволяющую определить, есть ли у плода тройная 21-я хромосома. Сегодня такой анализ входит в стандарт обследования беременных женщин старше 35 лет.
В Великобритании 30 % беременностей с синдромом Дауна обнаруживается при плановом тестировании у 5 % самых старородящих женщин. Этот метод выделяется своей высокой эффективностью по соотношению «число обнаруженных случаев на каждый потраченный фунт стерлингов», но что насчет остальных 70 % случаев синдрома Дауна? Неинвазивные методы являются альтернативными умеренно рискованным технологиям: амниоцентезу и биопсии хориона, – меняют профиль пренатальной диагностики. В конце 1990-х годов различные исследователи, в частности Деннис Ло из Китайского университета в Гонконге, показали, что ДНК плода можно обнаружить в плазме крови матери. Десять лет спустя Ло и группа ученых из Стэнфордского университета под руководством Стивена Квейка независимо показали, что анализ такой ДНК позволяет выявить трисомию 21. Процедура под названием «неинвазивное пренатальное тестирование» (NIPT) относительно проста: исследователь секвенирует 5–10 миллионов коротких произвольно взятых фрагментов ДНК из материнской плазмы, а затем сличает их с соответствующими хромосомами. Если в ДНК плода обнаруживается лишняя 21-я хромосома, то из 21-й хромосомы будет больше фрагментов, чем из других. Аналогично обнаруживаются трисомии и в других хромосомах, в частности в 13-й или 18-й. Такие трисомии вызывают соответственно синдром Эдвардса и синдром Патау, тяжелые генетические расстройства; ребенок с такими болезнями обычно умирает спустя несколько недель или месяцев после рождения. Другие трисомии летальны на пренатальном этапе, так прерывается около 30 % беременностей, и около половины подобных случаев прерывания беременности связаны с теми или иными хромосомными аберрациями.
Точность и эффективность метода неинвазивного пренатального тестирования (NIPT) была доказана в ходе клинических исследований, и первый клинический анализ по такому методу диагностики был выставлен в 2011 году. Вскоре появились и другие, и NIPT стал стандартной диагностической пренатальной процедурой, которую обычно проходят на первых 10 неделях беременности. Увы, этот метод не абсолютно точен. В 2014 году в Атланте был зафиксирован первый «ложноотрицательный» результат NIPT: ребенок родился с синдромом Дауна, хотя диагностика показала, что плод здоров.
Пока скрининг ДНК плода, взятой из плазмы материнской крови, позволяет выявить лишь ограниченный набор генетических расстройств.

Флуоресцентное окрашивание, позволяющее определить число хромосом. Ядро клетки (синее) анализируется на присутствие 10-й хромосомы (голубая) и 21-й хромосомы (розовая). Слева показан нормальный кариотип, в котором по два экземпляра обеих этих хромосом; справа – кариотип, соответствующий синдрому Дауна (три 21-х хромосомы)

Симон – итальянский студент, страдающий синдромом Дауна. Снимок предоставлен Positive Exposure – некоммерческой организацией, цель которой – поддержка «особенных» людей, стремящихся вести нормальную жизнь
Однако, по мнению Джея Шендью (Jay Shendure), врача-исследователя из Вашингтонского университета, вскоре появится возможность считывать по такой ДНК всю геномную последовательность плода. Джей Шендью с коллегами предложили метод неинвазивного взятия образцов материнской ДНК и сравнения этого материала с геномными последовательностями родителей. Так с высокой точностью удается определить геномную последовательность плода. Проблемы остаются, но, как заявил Джей Шендью в беседе с журналистом New York Times, «…это уже не научная фантастика».
По мере того как генетические анализы становятся все более сложными, открывается ящик Пандоры с этическими дилеммами. Подоплека их далеко не ограничивается исходными проблемами, для решения которых разрабатывался анализ, а последствия касаются не только тех людей, которые такой анализ сдают. Ни в какой другой отрасли медицины эта проблема не проявляется так очевидно, как при генетических анализах в семьях с заболеваниями, передающимися по наследству, например миодистрофией Дюшенна, болезнью Хантингтона или муковисцидозом. Недавно мужчина в возрасте за двадцать попросил проверить его на болезнь Хантингтона. Его дед по отцу умер от этой болезни, а отец, которому было уже за сорок, решил не сдавать анализ, предпочтя, подобно Нэнси Векслер, жить с пятидесятипроцентной неопределенностью, а не знать наверняка. Поскольку болезнь Хантингтона обычно поражает пожилых, существовала вероятность, что и у отца есть такая мутация, просто симптомы еще не проявились. Молодой человек понимал, что у него вероятность[19] такой мутации (и, соответственно, вероятность заболеть в будущем) составляет 1 к 4. Но он хотел знать, что его ждет. Проблема состоит вот в чем: если мутацию у сына обнаружат, то получить ее он мог только от отца, и, следовательно, отца болезнь неизбежно настигнет. Стремление сына доискаться генетической правды прямо противоречит нежеланию отца ее знать. Отец с сыном рассорились, и в конце концов, после долгих уговоров матери, сын отказался от анализа. Мать убедила сына в том, что его желание знать правду меркнет по сравнению с правом отца защититься от информации, которая может стать для того смертным приговором. Этот драматический пример показывает, как сильно генетический анализ отличается от любого иного. Любая информация, которую я могу узнать о моих генах, отразится на моих биологических родственниках независимо от того, хотят ли они ее знать или предпочитают скрыть.
Прочитали книгу? Предлагаем вам поделится своим впечатлением! Ваш отзыв будет полезен читателям, которые еще только собираются познакомиться с произведением.
Уважаемые читатели, слушатели и просто посетители нашей библиотеки! Просим Вас придерживаться определенных правил при комментировании литературных произведений.
Просьба отказаться от дискриминационных высказываний. Мы защищаем право наших читателей свободно выражать свою точку зрения. Вместе с тем мы не терпим агрессии. На сайте запрещено оставлять комментарий, который содержит унизительные высказывания или призывы к насилию по отношению к отдельным лицам или группам людей на основании их расы, этнического происхождения, вероисповедания, недееспособности, пола, возраста, статуса ветерана, касты или сексуальной ориентации. Просьба отказаться от оскорблений, угроз и запугиваний. Просьба отказаться от нецензурной лексики. Просьба вести себя максимально корректно как по отношению к авторам, так и по отношению к другим читателям и их комментариям.
Надеемся на Ваше понимание и благоразумие. С уважением, администратор My-Books.me.
Оставить комментарий
-
Александра15 январь 09:37
Очень интересная книга! Особенно, если любишь психологию и хочешь понимать себя и других. Обязательно послушаю до конца. Спасибо....
Кригер Борис – Гнев
-
Галина25 май 13:02
Очень уважаю Артема Шейнина, книга замечательная, очень мне близкая по духу.Перечитываю уже второй раз, столько пережитого и не...
Мне повезло вернуться - Артем Шейнин
-
Екатерина11 январь 08:05
Доброе утро. Подскажите пожалуйста как сохранять книги, ставить закладки?...
Подонок - Анастасия Леманн