Мозг. Как он устроен и что с ним делать - Илья Мартынов
Книгу Мозг. Как он устроен и что с ним делать - Илья Мартынов читаем онлайн бесплатно и без регистрации! Читать онлайн вы можете не только на компьютере, но и на андроид (Android), iPhone и iPad. Наслаждайтесь!
246 0 13:01, 02-01-2020Книга Мозг. Как он устроен и что с ним делать - Илья Мартынов читать онлайн бесплатно без регистрации
* * *
В 2007 году француз Матье, 44-летний отец двух детей, обратился в одну из клиник Марселя с жалобами на слабость (парез) в левой ноге. Он сообщил доктору, что в возрасте 14 лет у него уже было нечто подобное, но после лечения, назначенного детскими врачами, слабость прошла. Остальные аспекты, согласно записям в медицинской карте, были в пределах нормы.

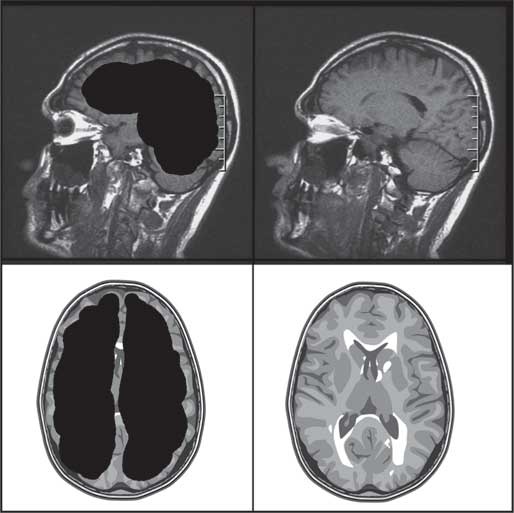
Рис. 1. Слева – мозг Матье (реконструкция), справа – мозг здорового человека
Доктора обследовали ногу Матье, но причин, вызывающих недомогание, обнаружить не смогли. И все же они решили назначить МРТ (магнитно-резонансная томография) головного мозга, чтобы исключить, например, такое страшное заболевание, как рассеянный склероз: оно может уничтожать клетки нервной системы, отвечающие за движения.
То, что обнаружили специалисты в ходе МРТ-исследования, не укладывалось в представления тогдашней нейронауки. В норме весь череп заполнен серым и белым веществом – это ткань мозга. Внутри есть небольшие цистерны с жидкостью. Но у Матье отсутствовало более 80 % мозговой ткани. А сами цистерны расширились, заполнив жидкостью почти весь мозг.
Матье рассказал докторам, что в 14 лет ему сделали шунтирование и откачали жидкость из мозга. Однако впоследствии она снова заполнила черепную коробку мужчины и сдавила его мозг, оттеснив все выжившие клетки к внутренней поверхности костей. То есть, по сути, вот уже более 40 лет Матье жил с «водой» в голове. И это не мешало ему вести вполне нормальный образ жизни. Но как такое возможно? Какие механизмы лежат в основе подобных явлений? Что мы знаем о мозге сегодня? Какова его роль в формировании сознания и механизме принятия решений?
Ответить на эти и другие вопросы можно, если обратиться к последним данным нейробиологии (науки о строении и функциях нервной системы) и когнитологии (науки о познании).
Читая научно-популярные лекции по нейробиологии около восьми лет, я не раз замечал, что людям зачастую сложно построить схему процессов, происходящих в мозге.
Основной задачей этой книги я вижу именно формирование у читателей единой системы представлений о мозге. Как мне кажется, это поможет им лучше понять не только процесс развития нервной системы, но и механизм действия антидепрессантов, нейролептиков и других препаратов. Этому и посвящена первая часть книги.
Во второй части речь идет о мышлении, памяти, внимании, научно обоснованной пользе медитации. Также предложены некоторые практические рекомендации и упражнения.
В третьей части освещены темы, связанные с принятием решений, поведенческой экономикой, нейромаркетингом, настоящим и будущим современных нейрокомпьютерных интерфейсов – устройств, связывающих наш мозг с компьютером, ноутбуком или планшетом, – и других нейротехнологий.
Итак, в этой книге я предлагаю читателям совершить путешествие от базовых принципов работы мозга к нашему поведению, мышлению и современным нейротехнологиям.
Мозг пристально изучают уже на протяжении долгого времени, но еще никогда мы не знали о нем так много, как сегодня. Нейробиология выводит человечество на новый уровень понимания, каково значение каждого индивида в обществе.
Уже сегодня достижения нейробиологии позволяют успешно лечить болезнь Паркинсона препаратом под названием «L-допа». Используя нейротехнологии и знания о пластичности мозга, мы можем достигать значительных результатов в спорте. С помощью нейромаркетинговых исследований международные корпорации выстраивают работу огромных отделов.
В этой книге я хочу рассказать не только о том, что уже используется на практике, но и о том, чего можно ожидать в ближайшее время. В мире, где потоки информации лавинообразно обрушиваются на каждого из нас, человеку уже не обойтись без богатого опыта нейронаук. Только эти знания способны по-настоящему помочь настроить мозг на эффективную работу.
Когда ум овладеет предметом, слова приходят сами.
Сегодня нам известно, что мозг состоит из миллиардов нервных клеток, связанных друг с другом в сложные сети. Но это знание мы получили относительно недавно.
В Античности про мозг знали не так уж много. Греческие философы вообще не утруждали себя описанием функций мозга. Они принимали его за охладитель, полагая, что он нужен для остужения крови.
В Средние века анатомические исследования практически не проводились из-за строгих религиозных запретов. И хотя вопреки всем запретам врачи все-таки пытались изучать нервную систему, целостной картины представлений о ней не сложилось.
Рене Декарт в XVII веке заложил традицию сравнивать работу нервной системы с работой различных устройств. Сам он уподоблял нервную систему сложной гидравлической машине. Примерно в это же время Томас Гоббс предложил обществу идею о том, что наши мысли являются результатом работы небольших механизмов в мозгу. В XVIII веке, продолжая традицию Декарта, исследователи сравнивали мозг с электрической машиной, в XIX – уже с телеграфом. В 1940-х годах возникла идея сопоставления мозга с компьютером. И она популярна до сих пор. Но на самом деле все эти сравнения ошибочны. Давайте разберемся почему.
В 1863 году была опубликована фундаментальная работа выдающегося русского физиолога Ивана Михайловича Сеченова. Называлась она просто и ясно – «Рефлексы головного мозга». В ней Сеченов развивал идею о так называемых невольных движениях: по сути, он описывал рефлексы в физиологическом смысле этого слова.
Сеченов одним из первых в России заговорил о проблеме автоматических процессов, которые человек не в состоянии контролировать. Они ведь на то и автоматические, запрограммированные природой. Но самые важные выводы, которые сделал величайший физиолог, заключались в другом.
Сеченов установил, что у лягушки, даже если у нее повреждены верхние отделы мозга, сохраняются невольные движения (то есть рефлексы), связанные с отдергиванием лапки. Все мы знаем, что многие рефлексы необходимы для сохранения жизни и здоровья. Например, если человеку что-то попадает не в то горло, у него рефлекторно активируется кашлевой центр. Толчки воздуха при кашле помогают освободить дыхательные пути от инородных тел. Кстати, с этим рефлексом каждый из нас сталкивался во время простуд, сопровождающихся отхождением мокроты. От нее тоже нужно освобождать дыхательные пути. Одаривая нас такими рефлексами, природа словно говорит: «Я все сделаю сама, вы ведь все равно, глупышки, не справитесь». И она действительно перехватывает у нас инициативу. И знаете – обычно неплохо справляется. Сколько бы мы, к примеру, извлекали инородное тело из дыхательных путей пинцетом? Или что случилось бы, если бы мы не заметили, как коснулись горячего утюга или чайника?
Прочитали книгу? Предлагаем вам поделится своим впечатлением! Ваш отзыв будет полезен читателям, которые еще только собираются познакомиться с произведением.
Уважаемые читатели, слушатели и просто посетители нашей библиотеки! Просим Вас придерживаться определенных правил при комментировании литературных произведений.
Просьба отказаться от дискриминационных высказываний. Мы защищаем право наших читателей свободно выражать свою точку зрения. Вместе с тем мы не терпим агрессии. На сайте запрещено оставлять комментарий, который содержит унизительные высказывания или призывы к насилию по отношению к отдельным лицам или группам людей на основании их расы, этнического происхождения, вероисповедания, недееспособности, пола, возраста, статуса ветерана, касты или сексуальной ориентации. Просьба отказаться от оскорблений, угроз и запугиваний. Просьба отказаться от нецензурной лексики. Просьба вести себя максимально корректно как по отношению к авторам, так и по отношению к другим читателям и их комментариям.
Надеемся на Ваше понимание и благоразумие. С уважением, администратор My-Books.me.
Оставить комментарий
-
Александра15 январь 09:37
Очень интересная книга! Особенно, если любишь психологию и хочешь понимать себя и других. Обязательно послушаю до конца. Спасибо....
Кригер Борис – Гнев
-
Галина25 май 13:02
Очень уважаю Артема Шейнина, книга замечательная, очень мне близкая по духу.Перечитываю уже второй раз, столько пережитого и не...
Мне повезло вернуться - Артем Шейнин
-
Екатерина11 январь 08:05
Доброе утро. Подскажите пожалуйста как сохранять книги, ставить закладки?...
Подонок - Анастасия Леманн